HOME PAGE

 

 

Data inserimento: 30/10/2025

Ecografia del: 29/10/2025

Strumento: Esaote MyLab Eight

Sonda: Lineare Multifrequenza 3-11 MHz

Età Paziente: F 75 anni

Motivazione dell'esame: controllo in pz con ateromasia carotidea ed ipercolesterolemia.

Commento all'esame: le immagini ed il video documentano all'arteria carotide comune destra placca disomogenea tipo 3 della classificazione di Gray Weale, che determina stenosi del 62% calcolato con metodo ECST.

Conclusioni: stenosi del 62% ECST dell'arteria carotide comune destra (62% ECST stenosis of the right common carotid artery).

Presentazione: Dr. Massimo Dolciotti - Ancona

Elaborazione digitale: Andrea Dini - Ancona

VISUALIZZA IL VIDEO

 

 


 

 

Data inserimento: 29/10/2025

Ecografia del: 28/10/2025

Strumento: Esaote MyLab Eight

Sonda: Convex Multifrequenza 1-8 MHz

Età Paziente: F 35 anni

Motivazione dell'esame: amenorrea.

Commento all'esame: le immagini ed il video documentano in utero il sacco gestazionale, il sacco vitellino e presenza di embrione delle dimensioni di 4,7 mm (CRL), con iniziale attività cardiaca, documentata nel video.

Conclusioni: gravidanza alla 6° settimana di gestazione (pregnancy to the 6th week of gestation).

Presentazione: Dr. Massimo Dolciotti - Ancona

Elaborazione digitale: Andrea Dini - Ancona

VISUALIZZA IL VIDEO

 

 


 

 

Data inserimento: 28/10/2025

Ecografia del: 13/10/2025

Strumento: Esaote MyLab Eight

Sonda: Lineare Multifrequenza 3-13 MHz,

Età Paziente: M 34 anni

Motivazione dell'esame: da 10 giorni comparsa di dolore alla coscia sin in sede anteriore.

Commento all'esame: le immagini ed il video documentano la lesione di 2° grado, delle dimensioni di 58 x 17 mm, al terzo medio del muscolo retto femorale di sinistra.

Conclusioni: lesione di secondo grado al terzo medio del muscolo retto femorale sinistro (second-degree injury in the middle third of the left rectus femoris muscle).

Presentazione: Dr. Massimo Dolciotti - Ancona

Elaborazione digitale: Andrea Dini - Ancona

VISUALIZZA IL VIDEO

 

 


 

 

Data inserimento: 22/10/2025

Ecografia del: 13/10/2025

Strumento: Esaote MyLab Eight

Sonda: Lineare Multifrequenza 4-15 MHz

Età Paziente: M 42 anni

Motivazione dell'esame: da 2-3 mesi dolore al polpaccio destro.

Commento all'esame: le immagini ed il video documentano l'ostruzione completa dell'arteria femorale superficiale destra all'origine.

Conclusioni: occlusione dell'arteria femorale superficiale destra all'origine (occlusion of the right superficial femoral artery at the origin).

Presentazione: Dr. Massimo Dolciotti - Ancona

Elaborazione digitale: Andrea Dini - Ancona

VISUALIZZA IL VIDEO

 

 


 

 

Data inserimento: 21/10/2025

Ecografia del: 15/10/2025

Strumento: Esaote MyLab Eight

Sonda: Convex Multifrequenza 1-8 MHz

Età Paziente: F 45 anni

Motivazione dell'esame: da alcuni mesi, disuria ed infezioni urinarie recidivanti.

Commento all'esame: le immagini ed il video documentano 3 immagini iperecogene, con cono d'ombra posteriore, da ricondurre a litiasi multipla della vescica.

Conclusioni: 3 calcoli della vescica (3 bladder stones).

Presentazione: Dr. Massimo Dolciotti - Ancona

Elaborazione digitale: Andrea Dini - Ancona

VISUALIZZA IL VIDEO

 

 


 

 

Data inserimento: 16/10/2025

Ecografia del: 13/10/2025

Strumento: Samsung

Sonda: Lineare

Età Paziente:

Commento all'esame: giovane atleta con referto di RMN che riporta cisti del semimembranoso/gemello e falda fluida lungo il gemello mediale medesimo.
Alla ETG:
A. formazione cistica di circa 22 x 17 x 23 mm (DAP x DT x DL = 4.5 ml) indovata tra il semimembranoso ed il gemello mediale: borsite dei tendini suindicati; assenza di falde fluide a carico dello sfondato sottoquadricipitale!
B. rottura completa del semitendinoso in sede distale con diastasi dei monconi di circa 25 mm.

Conclusioni: lesione e cisti del muscolo semitendinoso destro (right semitendinosus muscle injury and cyst).

Realizzazione: Dr. F. Pietro Tarini - Gubbio (PG)

Presentazione: Dr. Massimo Dolciotti - Ancona

Elaborazione digitale: Andrea Dini - Ancona

VISUALIZZA IL VIDEO

 

 


 

 

Data inserimento: 15/10/2025

Ecografia del: 30/07/2025

Strumento: Samsung

Sonda: Lineare

Età Paziente: M 70 anni

Età Paziente:

Commento all'esame: ganglio della articolazione tibio-peroneale prossimale.

Conclusioni: ganglio dell'articolazione tibio-peroneale prossimale (ganglion of the proximal tibiofibular joint).

Realizzazione: Dr. F. Pietro Tarini - Gubbio (PG)

Presentazione: Dr. Massimo Dolciotti - Ancona

Elaborazione digitale: Andrea Dini - Ancona

 

 

 


 

 

Data inserimento: 14/10/2025

Ecografia del: 13/10/2025

Strumento: Esaote MyLab Eight

Sonda: Lineare Multifrequenza 4-15 MHz

Età Paziente: M 70 anni

Motivazione dell'esame: da 2 giorni dolore al testicolo sinistro.

Commento all'esame: le immagini ed il video documentano l'epididimo sinistro spiccatamente aumentato di volume e di vascolarizzazione, come da flogosi. Didimo sinistro lievemente aumentato di volume. Quadro clinico ed ecografico da ricondurre ad epididimite acuta sinistra.

Conclusioni: epididimite acuta sinistra (acute left epididymitis).

Presentazione: Dr. Massimo Dolciotti - Ancona

Elaborazione digitale: Andrea Dini - Ancona

VISUALIZZA IL VIDEO

 

 


 

 

Data inserimento: 13/10/2025

Ecografia del: 07/10/2025

Strumento: Esaote MyLab Eight

Sonda: Convex Multifrequenza 1-8 MHz

Età Paziente: F 49 anni

Motivazione dell'esame: follow up per litiasi della colecisti dopo trattamento con acido ursodesossicolico.

Commento all'esame: le immagini ed il video documentano nel lume della colecisti, immagine iperecogena, delle dimensioni di 16,1 mm, con cono d'ombra posteriore, mobile al decubito, da ricondurre a litiasi.

Conclusioni: litiasi della colecisti (gallstone).

Presentazione: Dr. Massimo Dolciotti - Ancona

Elaborazione digitale: Andrea Dini - Ancona

VISUALIZZA IL VIDEO

 

 


 

 

Data inserimento: 10/10/2025

Ecografia del: 03/10/2025

Strumento: Esaote MyLab Eight

Sonda: Lineare Multifrequenza 4-15 MHz

Età Paziente: F 71 anni

Motivazione dell'esame: dolore all'emicostato destro persistente da 20 giorni.

Commento all'esame: le immagini ed il video documentano all'emicostato posteriore destro, la frattura costale, con presenza di callo osseo.

Conclusioni: frattura costale dell'emitorace posteriore destro (rib fracture of the right posterior hemithorax).

Presentazione: Dr. Massimo Dolciotti - Ancona

Elaborazione digitale: Andrea Dini - Ancona

VISUALIZZA IL VIDEO

 

 


 

 

Data inserimento: 09/10/2025

Ecografia del: 02/10/2025

Strumento: Esaote MyLab Eight

Sonda: Convex Multifrequenza 1-8 MHz

Età Paziente: F 78 anni

Motivazione dell'esame: riscontro occasionale.

Commento all'esame: le immagini ed il video documentano in sede mesorenale corticale del rene destro, immagine iperecogena, ovalare, delle dimensioni di 11,9 x 10,4 mm, da ricondurre ad angiomiolipoma.

Conclusioni: angiomiolipoma del rene destro (angiomyolipoma of the right kidney).

Presentazione: Dr. Massimo Dolciotti - Ancona

Elaborazione digitale: Andrea Dini - Ancona

VISUALIZZA IL VIDEO

 

 


 

 

Data inserimento: 07/10/2025

Ecografia del: 15/05/2025

Strumento: Esaote MyLab Eight

Sonda: Lineare Multifrequenza 3-13 MHz

Età Paziente: F 16 anni

Motivazione dell'esame: da 2 giorni dolore alla mammella sinistra.

Commento all'esame: le immagini ed il video documentano al quadrante inferiore esterno ore 4 della mammella sinistra, formazione disomogenea ipoanecogena, delle dimensioni di 24 x 14 mm, da ricondurre a cisti liquida infiammata.

Conclusioni: cisti liquida flogosata alla mammella sinistra (inflamed liquid cyst in the left breast).

Presentazione: Dr. Massimo Dolciotti - Ancona

Elaborazione digitale: Andrea Dini - Ancona

VISUALIZZA IL VIDEO

 

 


 

 

Data inserimento: 06/10/2025

Ecografia del: 26/09/2025

Strumento: Esaote MyLab Eight

Sonda: Lineare Multifrequenza 3-13 MHz

Età Paziente: F 76 anni

Motivazione dell'esame: da 2 mesi dolore alla spalla destra anche la notte.

Commento all'esame: le immagini ed il video documentano il tendine sovraspinato destro spiccatamente disomogeneo per evidenza, in sede medio prossimale, di area ipoecogena, delle dimensioni di 8,7 mm x 2,9 mm, da ricondurre a lesione parziale che interessa i 2/3 del tendine.

Conclusioni: lesione 2/3 del tendine sovraspinato destro (2/3 injury of the right supraspinatus tendon).

Presentazione: Dr. Massimo Dolciotti - Ancona

Elaborazione digitale: Andrea Dini - Ancona

VISUALIZZA IL VIDEO

 

 


 

 

Data inserimento: 03/10/2025

Ecografia del: 24/09/2025

Strumento: Esaote MyLab Eight

Sonda: Lineare Multifrequenza 3-13 MHz e 4-15 MHz,

Età Paziente: M 37 anni

Motivazione dell'esame: da 1 mese dolore al quadricipite sinistro.

Commento all'esame: le immagini ed il video documentano la lesione di 2° grado, delle dimensioni di 33 x 10 mm, al terzo medio del muscolo retto femorale di sinistra.

Conclusioni: lesione di secondo grado al terzo medio del muscolo retto femorale sinistro (second-degree injury in the middle third of the left rectus femoris muscle).

Presentazione: Dr. Massimo Dolciotti - Ancona

Elaborazione digitale: Andrea Dini - Ancona

VISUALIZZA IL VIDEO

 

 


 

 

Data inserimento: 02/10/2025

Ecografia del: 24/09/2025

Strumento: Esaote MyLab Eight

Sonda: Lineare Multifrequenza 3-13 MHz,

Età Paziente: M 67 anni

Motivazione dell'esame: tumefazione non dolente in sede rotulea dx per trauma contusivo da incidente stradale.

Commento all'esame: le immagini ed il video documentano, al ginocchio destro, evidenza di distensione di moderata entità parzialmente fluida e con abbondanti tralci di fibrina ed incremento della vascolarizzazione nella borsa prepatellare sottocutanea.

Conclusioni: borsite prepatellare sottocutanea destra (right subcutaneous prepatellar bursitis).

Presentazione: Dr. Massimo Dolciotti - Ancona

Elaborazione digitale: Andrea Dini - Ancona

VISUALIZZA IL VIDEO

 

 


 

 

Data inserimento: 01/10/2025

Ecografia del: 17/04/2025

Strumento: Esaote MyLab Eight

Sonda: Convex Multifrequenza 1-8 MHz, Endocavitaria Multifrequenza 3-9 MHz e 3-13 MHz

Età Paziente: M 35 anni

Motivazione dell'esame: disuria.

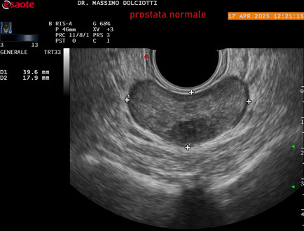
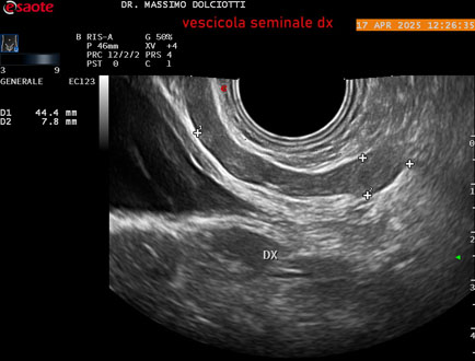
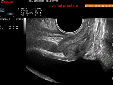
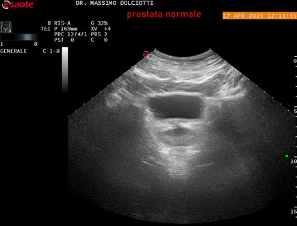
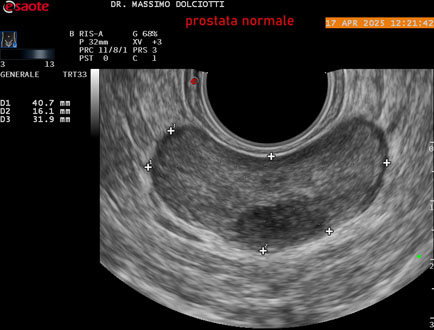
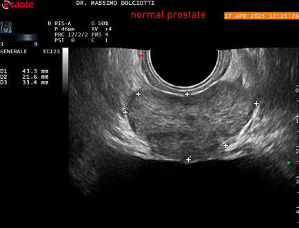
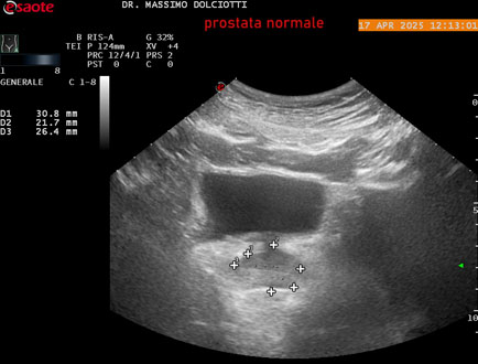
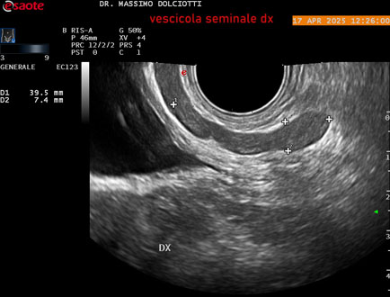
Commento all'esame: le immagini ed il video documentano la prostata di ecostruttura regolare e morfovolumetria normale con diametro trasversale di 40 mm, diametro anteroposteriore di 21 mm e diametro longitudinale di 43 mm, con volume prostatico calcolato di 18 cc (v.n. < 20 cc), il profilo prostatico è regolare e netto, non si documentano calcificazioni intraghiandolari, la vascolarizzazione della ghiandola è normale. La vescicola seminale destra presenta diametro longitudinale di 44,4 x 7,8 mm, la vescicale seminale sinistra ha diametro longitudinale di 45,3 mm x 7,2 mm.

Conclusioni: prostata normale (normal prostate).

Presentazione: Dr. Massimo Dolciotti - Ancona

Elaborazione digitale: Andrea Dini - Ancona

VISUALIZZA IL VIDEO

 

 


 

 
HOME PAGE