HOME PAGE

 

 

Data inserimento: 03/03/2026

Ecografia del: 23/02/2026

Strumento: Esaote MyLab Eight

Sonda: Lineare Multifrequenza 3-13 MHz

Età Paziente: M 18 anni

Motivazione dell'esame: due settimane dolore alla coscia destra in sede posteriore.

Commento all'esame: le immagini ed il video documentano, al terzo mediale del muscolo semitendinoso destro, area ipoecogena delle dimensioni di 21 x 7,4 mm, misurata per asse lungo o longitudinale, e di 13 x 11 mm, misurata per asse corto o trasversale, da ricondurre a piccola lesione muscolare di primo grado senza raccolta sieroematica intramuscolare né intermuscolare.

Conclusioni: lesione di 1° grado del muscolo semitendinoso destro (first degree injury to the right semitendinosus muscle).

In collaborazione: Dr.ssa Marica Manfredi - Ancona, Dr. Ilir Qose - Ancona

Presentazione: Dr. Massimo Dolciotti - Ancona

Elaborazione digitale: Andrea Dini - Ancona

VISUALIZZA IL VIDEO

 

 


 

 

Data inserimento: 25/02/2026

Ecografia del: 21/02/2026

Strumento: Esaote MyLab Eight

Sonda: Lineare Multifrequenza 3-13 MHz

Età Paziente: M 49 anni

Motivazione dell'esame: da 10 giorni dolore insorto durante la corsa.

Commento all'esame: le immagini ed il video documentano, al muscolo bicipite femorale destro, in sede prossimale, area disomogenea, ipoecogena, delle dimensioni di 27 x 24 mm (misura ottenuta per asse corto o trasversale) e delle dimensioni di 51 x 33 mm (misura ottenuta per asse lungo o longitudinale), da ricondurre a lesione muscolare di 2° grado con modica raccolta sieroematica intramuscolare.

Conclusioni: lesione di 2° grado al muscolo bicipite femorale destro (grade 2 injury to the right biceps femoris muscle).

In collaborazione: Dr.ssa Marica Manfredi - Ancona, Dr. Ilir Qose - Ancona

Presentazione: Dr. Massimo Dolciotti - Ancona

Elaborazione digitale: Andrea Dini - Ancona

VISUALIZZA IL VIDEO

 

 


 

 

Data inserimento: 23/02/2026

Ecografia del: 16/02/2026

Strumento: Esaote MyLab Eight

Sonda: Lineare Multifrequenza 3-13 MHz

Età Paziente: M 24 anni

Motivazione dell'esame: follow up di lesione muscolare di 2° grado al semitendinoso destro.

Commento all'esame: le immagini ed il video documentano la disomogeneità e la ipoecogenicità del muscolo semitendinoso destro in sede prossimale. Presenza di minimo versamento intramuscolare.

Conclusioni: lesione di 2° grado del muscolo semitendinoso destro (grade 2 injury to the right semitendinosus muscle).

In collaborazione: Dr.ssa Marica Manfredi - Ancona, Dr. Ilir Qose - Ancona

Presentazione: Dr. Massimo Dolciotti - Ancona

Elaborazione digitale: Andrea Dini - Ancona

VISUALIZZA IL VIDEO

 

 


 

 

Data inserimento: 23/01/2026

Ecografia del: 16/01/2025

Strumento: Esaote MyLab Eight

Sonda: Lineare Multifrequenza 3-13 MHz

Età Paziente: M 23 anni

Motivazione dell'esame: dolore coscia sinistra da tre giornii.

Commento all'esame: le immagini ed il video documentano il muscolo semimembranoso sinistro disomogeneo per area iso-ipoecogena delle dimensioni di 38 x 14,7 mm per asse corto trasversale, 81 x 22 mm per asse longitudinale, come da lesione di 2° grado, con minimo versamento siero-ematico intramuscolare.

Conclusioni: lesione di 2° grado del muscolo semimembranoso sinistro (2nd degree lesion of the left semimembranosus muscle).

In collaborazione: Dr.ssa Marica Manfredi - Ancona, Dr. Ilir Qose - Ancona

Presentazione: Dr. Massimo Dolciotti - Ancona

Elaborazione digitale: Andrea Dini - Ancona

VISUALIZZA IL VIDEO

 

 


 

 

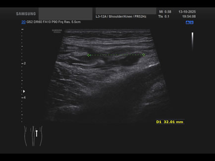
Data inserimento: 16/10/2025

Ecografia del: 13/10/2025

Strumento: Samsung

Sonda: Lineare

Età Paziente:

Commento all'esame: giovane atleta con referto di RMN che riporta cisti del semimembranoso/gemello e falda fluida lungo il gemello mediale medesimo.
Alla ETG:
A. formazione cistica di circa 22 x 17 x 23 mm (DAP x DT x DL = 4.5 ml) indovata tra il semimembranoso ed il gemello mediale: borsite dei tendini suindicati; assenza di falde fluide a carico dello sfondato sottoquadricipitale!
B. rottura completa del semitendinoso in sede distale con diastasi dei monconi di circa 25 mm.

Conclusioni: lesione e cisti del muscolo semitendinoso destro (right semitendinosus muscle injury and cyst).

Realizzazione: Dr. F. Pietro Tarini - Gubbio (PG)

Presentazione: Dr. Massimo Dolciotti - Ancona

Elaborazione digitale: Andrea Dini - Ancona

VISUALIZZA IL VIDEO

 

 


 

 

Data inserimento: 03/10/2025

Ecografia del: 24/09/2025

Strumento: Esaote MyLab Eight

Sonda: Lineare Multifrequenza 3-13 MHz e 4-15 MHz,

Età Paziente: M 37 anni

Motivazione dell'esame: da 1 mese dolore al quadricipite sinistro.

Commento all'esame: le immagini ed il video documentano la lesione di 2° grado, delle dimensioni di 33 x 10 mm, al terzo medio del muscolo retto femorale di sinistra.

Conclusioni: lesione di secondo grado al terzo medio del muscolo retto femorale sinistro (second-degree injury in the middle third of the left rectus femoris muscle).

Presentazione: Dr. Massimo Dolciotti - Ancona

Elaborazione digitale: Andrea Dini - Ancona

VISUALIZZA IL VIDEO

 

 


 

 

Data inserimento: 25/07/2025

Ecografia del: 02/07/2025

Strumento: Esaote MyLab Eight

Sonda: Lineare Multifrequenza 3-13 MHz

Età Paziente: M 20 anni

Motivazione dell'esame: da 5 gg dolore alla cscia destra sede posteriore prossimale

Commento all'esame: le immagini ed il video documentano la disomogeneità ed ipoecogenicità del muscolo semitendinoso destro, in sede prossimale, delle dimensioni di 41 x 11 mm, da ricondurre a lesione muscolare di secondo grado, senza raccolta inter ed intra muscolare.

Conclusioni: lesione di 2° grado del muscolo semitendinoso destro (grade 2 injury to the right semitendinosus muscle).

Presentazione: Dr. Massimo Dolciotti - Ancona

Elaborazione digitale: Andrea Dini - Ancona

VISUALIZZA IL VIDEO

 

 


 

 

Data inserimento: 21/07/2023

Ecografia del: 21/07/2023

Strumento: Esaote MyLab Eight

Sonda: Lineare Multifrequenza 3-14 MHz e Convex Multifrequenza 1-8 MHz

Età Paziente: M 79 anni

Motivazione dell'esame: da ieri, vasta echimosi alla regione posteriore della coscia destra, per la caduta avvenuta 3 giorni prima.

Commento all'esame: le immagini ed il video documentano, alla regione posteriore della coscia destra, versamento sieroematico intermuscolare, delle dimensioni massime documentate di 128 x 49 mm, da ricondurre a lesione muscolare di 3° grado dei muscoli semimembranoso, semitendinoso e bicipite femorale all'inserzione prossimale.

Conclusioni: lesione di 3° grado dei muscoli flessori della coscia destra (3rd degree lesion of the flexor muscles of the right thigh).

In collaborazione: Dr. Mauro Giri - Ancona

Presentazione: Dr. Massimo Dolciotti - Ancona

Elaborazione digitale: Andrea Dini - Ancona

VISUALIZZA IL VIDEO

 

 


 

 

Data inserimento: 07/04/2023

Ecografia del: 28/03/2023

Strumento: Esaote MyLab Eight

Sonda: Lineare Multifrequenza 4-13 MHz

Età Paziente: M 16 anni

Motivazione dell'esame: dolori alla coscia sinistra in sede posteriore.

Commento all'esame: le immagini ed il video documentano la disomogeneità, l'ipoecogeneicità del muscolo semimembranoso sinistro in sede prossimale, delle dimensioni di 28 mm x 15 mm ((misura ottenuta x asse corto o trasversale) e di 62 mm x uno spessore di 19 mm (misura ottenuta x asse lungo o longitudinale), da ricondurre a lesione muscolare di 2° grado senza raccolta sieroematica intra muscolare.

Conclusioni: lesione di 2° grado del muscolo membranoso sinistro (2nd degree lesion of the left membranous muscle).

Presentazione: Dr. Massimo Dolciotti - Ancona

Elaborazione digitale: Andrea Dini - Ancona

VISUALIZZA IL VIDEO

 

 


 

 

Data inserimento: 05/08/2020

Ecografia del: 03/08/2020

Strumento: Samsung

Sonda: Comvex

Età Paziente: M

Commento all'esame: lacerazione parziale del semimembranoso in pt obeso.

Conclusioni: lacerazione parziale del muscolo semimembranoso sinistro (partial tear of the left semimembranous muscle).

Realizzazione: Dr. F. Pietro Tarini - Gubbio (PG)

Presentazione: Dr. Massimo Dolciotti - Ancona

Elaborazione digitale: Andrea Dini - Ancona

VISUALIZZA IL VIDEO

 

 


 

 

Data inserimento: 24/07/2020

Ecografia del: 23/07/2020

Strumento: Esaote MyLab Twice

Sonda: Volumterica Multifrequenza 1-8 MHz e Lineare Multifrequenza 4-13 MHz

Età Paziente: M 63 anni

Motivazione dell'esame: da 2 settimane dolore alla coscia destra, in sede posteriore, causato da caudta dalla moto.

Commento all'esame: le immagini ed il video documentano la lesione di secondo grado del capolungo del muscolo bicipite femorale destro, con vasto ematoma intramuscolare.

Conclusioni: lesione di secondo grado del capolungo del muscolo bicipite femorale destro, con vasto ematoma intramuscolare (second degree lesion of the right femoral biceps muscle, with extensive intramuscular hematoma).

Presentazione: Dr. Massimo Dolciotti - Ancona

Elaborazione digitale: Andrea Dini - Ancona

VISUALIZZA IL VIDEO

 


 

 

Data inserimento: 25/10/2019

Ecografia del: 19/10/2019

Strumento: Samsung

Sonda: Lineare

Età Paziente:

Commento all'esame: rottura completa del capo prossimale del bicipite femorale sn, risalente a circa 3 mesi fa, con atrofia del relativo ventre muscolare.

Conclusioni: rottura completa del capo prossimale del bicipite femorale sinistro (complete rupture of the proximal head of the left biceps muscle).

Realizzazione: Dr. F. Pietro Tarini - Gubbio (PG)

Presentazione: Dr. Massimo Dolciotti - Ancona

Elaborazione digitale: Andrea Dini - Ancona

VISUALIZZA IL VIDEO

 

 


 

Data inserimento: 04/09/2019

Ecografia del: 04/09/2019

Strumento: Esaote MyLab Twice

Sonda: Lineare Multifrequenza 4-13 MHz

Età Paziente: M 50 anni

Motivazione dell'esame: da due giorni dolore alla coscia sinistra in sede posteriore.

Commento all'esame: le immagini ed il video documentano area disomogenea, ipo-anecogena al muscolo semitendinoso sinistro in sede prossimale, delle dimensioni di 38,8 x 11,5 mm (misura ottenuta per asse lungo o longitudinale), da ricondurre a lesione muscolare di 2° grado con minima raccolta sierematica intramuscolare.

Conclusioni: lesione di 2° grado muscolo semitendinoso sinistro (2nd degree lesion of the left semitendinosus muscle).

Presentazione: Dr. Massimo Dolciotti - Ancona

Elaborazione digitale: Andrea Dini - Ancona

VISUALIZZA IL VIDEO

 

 


 

Data inserimento: 07/02/2018

Ecografia del: 01/02/2018

Strumento: Esaote MyLab 50 Gold

Sonda: Lineare Multifrequenza 7,5-12 MHz

Età Paziente: M 19 anni

Motivazione dell'esame: da 1 mese dolore alla coscia destra, in sede posteriore, insorto durante la partita di calcio.

Commento all'esame: le immagini ed il video documentano area ipoecogena in sede medio-prossimale del muscolo semimembranoso destro, delle dimensioni di 64 x 27 mm, misura ottenuta per asse lungo o longitudinale, da ricondurre a lesione muscolare di secondo grado.

Conclusioni: lesione di 2° grado del muscolo semimembranoso destro (lesion 2nd degree right semimembranosus muscle).

In collaborazione: Dr. Marco Griffoni - Ancona

Presentazione: Dr. Massimo Dolciotti - Ancona

Elaborazione digitale: Andrea Dini - Ancona

VISUALIZZA IL VIDEO

 

 


 

Data inserimento: 05/12/2016

Ecografia del: 03/12/2016

Strumento: Esaote MyLab 50 Gold

Sonda: Lineare Multifrequenza 7,5-12 MHz  

Età Paziente: M 30 anni

Motivazione dell'esame: da 1 settimana febbre con brivido in paziente operato per ricostruzione del legamento crociato anteriore destro con tendine del muscolo semitendinoso.

Commento all'esame: l'indagine ecografica con sonda lineare multifrequenza da 7,5 -12 Mhz a livello dei muscoli posteriori della coscia destra documenta nel muscolo semitendinoso destro in sede medio-distale area anecogena, per raccolta sierematica intramuscolare, da ricondurre a lesione muscolare chirugica a seguito di rimozione del tendine semitendinoso.

Conclusioni: lesione muscolare di terzo grado del muscolo semitendinoso destro per asportazione chirurgica del tendine utilizzato per la ricostruzione del legamento crociato anteriore avvenuta otto giorni prima (complete injury of the right semitendinosus muscle for surgical removal of the tendon used for the reconstruction of the anterior cruciate ligament occurred eight days before).

Presentazione: Dr. Massimo Dolciotti - Ancona

Elaborazione digitale: Andrea Dini - Ancona

 

VISUALIZZA IL VIDEO

 

 


 

Data inserimento: 30/11/2016

Ecografia del: 05/11/2016

Strumento: Esaote MyLab 50 Gold

Sonda: Lineare Multifrequenza 7,5-12 MHz  

Età Paziente: M 32 anni

Motivazione dell'esame: da 3 settimane dolore alla coscia sinistra in sede posteriore occorsogli durante l'allenamento di calcio a 5.

Commento all'esame: l'indagine ecografica con sonda lineare multifrequenza da 7,5 -12 Mhz a livello dei muscoli posteriori della coscia sinistra documenta nel muscolo semitendinoso sinistro in sede prossimale area disomogenea, ipoanecogena delle dimensioni di 48 x 18 mm, misura ottenuta per asse lungo o longitudinale da ricondurre a lesione muscolare di secondo grado con lieve raccolta sieroematica intramuscolare. Non versamento intermuscolare.

Conclusioni: lesione muscolare di secondo grado del muscolo semitendinoso sinistro (left semitendinosus muscle injury second degree).

Presentazione: Dr. Massimo Dolciotti - Ancona

Elaborazione digitale: Andrea Dini - Ancona

 

VISUALIZZA IL VIDEO

 

 


 

Data inserimento: 27/07/2016

Ecografia del: 25/07/2016

Strumento: Esaote MyLab Class C

Sonda: Lineare Multifrequenza 4-13 MHz

Età Paziente:

Commento all'esame: giovane con improvviso dolore al poplite durante salita di scala: rottura completa del tratto distale del semitendinoso con ematoma ancillare di circa 10 x 31 x 128 mm (DAP x DT x DL = 20 ml ca).

Conclusioni: rottura completa del tratto distale del semitendinoso (complete rupture of the distal semitendinosus).

Realizzazione: Dr. F. Pietro Tarini - Gubbio (PG)

Presentazione: Dr. Massimo Dolciotti - Ancona

Elaborazione digitale: Andrea Dini - Ancona

VISUALIZZA IL VIDEO

 

 


 

Data inserimento: 26/02/2016

Ecografia del: 22/02/2016

Strumento: Esaote MyLab 50 Gold

Sonda: Lineare Multifrequenza 7,5-12 MHz  

Età Paziente: M 56 anni

Motivazione dell'esame: da 5 gg dolore alla coscia destra in sede posteriore occorsogli in palestra durante una serie di esercizi per i muscoli posteriori di coscia.

Commento all'esame: l'indagine ecografica con sonda lineare multifrequenza da 7,5 -12 Mhz a livello dei muscoli flessori della coscia destra a livello prossimale nel muscolo semitendinoso si documenta area disomogenea ipoecogena che misurata per asse lungo o longitudinale ha dimensione di 57 x 13 mm da ricondurre a strappo muscolare di secondo grado con evidenza di lieve raccolta sieroematica intramuscolare. Normale il muscolo bicipite femorale destro e il muscolo semimembranoso destro. Si allegano 6 (sei) immagini. Indispensabile il follow up, la valutazione ortopedica-fisiatrica, del fisioterapista e clinica del medico curante.

Conclusioni: strappo muscolare di secondo grado del muscolo semitendinoso sinistro (left semimembranous muscle tear second degree).

Presentazione: Dr. Massimo Dolciotti - Ancona

Elaborazione digitale: Andrea Dini - Ancona

 

VISUALIZZA IL VIDEO

 

 


 

Data inserimento: 26/02/2016

Ecografia del: 19/02/2016

Strumento: Esaote MyLab 50 Gold

Sonda: Lineare Multifrequenza 7,5-12 MHz  

Età Paziente: M 44 anni

Motivazione dell'esame: da tre settimane dolore ed indurimento in sede posteriore alla coscia sin.

Commento all'esame: l'indagine ecografica con sonda lineare multifrequenza da 7,5 -12 Mhz a livello dei muscoli posteriori della coscia sinistra nel muscolo semimembranoso sinistro in sede medio distale si documenta area ipoecogena che e misurata per asse lungo delle dimensioni di 50,2 x 18,6 mm da ricondurre a lesione muscolare di secondo grado con lieve raccolta sieroematica intramuscolare. Non versamento intermuscolare. Il muscolo semitendinoso è normale. Normale il muscolo bicipite femorale sinistro. Si allegano 6 (sei) immagini. Indispensabile il follow up, la valutazione ortopedica-fisiatrica, del fisioterapista e clinica del medico curante.

Conclusioni: strappo muscolare di secondo grado del muscolo semimembranoso sinistro (left semimembranous muscle tear second degree).

Presentazione: Dr. Massimo Dolciotti - Ancona

Elaborazione digitale: Andrea Dini - Ancona

 

VISUALIZZA IL VIDEO

 

 


 

Data inserimento: 17/11/2014

Ecografia del: 11/11/2014

Strumento: Esaote MyLab 50 Gold - Responsabile Linea Cardio Esaote Regione Marche Dr. Franco Fabi

Sonda: Lineare Multifrequenza 3,5-10 MHz

Età Paziente: F 61 anni

Motivazione dell'esame: da cinque giorni dolore e tumefazione alla regione posteriore della coscia sinistra insorto dopo la caduta in casa.

Commento all'esame: l'indagine ecografica con sonda lineare multifrequenza da 3,5-10 MHz a livello posteriore della coscia sinistra documenta vasta area ipo-anecogena delle dimensioni massime documentate di 32 x 21 mm misurata per asse corto in sede prossimale del muscolo semimembranoso con versamento sieroematico da ricondurre a lesione muscolare di terzo grado. Anche il muscolo semitendinoso in sede inserzionale è coinvolto nella lesione. La raccolta sieroematica intra ed intermuscolare raggiunge la regione mediale della coscia sinistra. Normali i muscoli bicipite femorale sinistro e il muscolo gracile sinistro. Si allegano 13 (tredici) immagini . Indispensabile l'approfondimento diagnostico con RM coscia sinistra, il follow up ecografico, la valutazione ortopedica-fisiatrica del fisioterapista e clinica del medico curante.

Conclusioni: lesione miotendinea di terzo grado del muscolo semimembranoso sinistro (lesion myotendinous third-degree left semimembranosus muscle).

Potete esprimere le vostre osservazioni e commenti sul BLOG.

In collaborazione: Dr. Marco Griffoni - Ancona

Presentazione: Dr. Massimo Dolciotti - Ancona

Elaborazione digitale: Andrea Dini - Ancona

VISUALIZZA IL VIDEO

 

 


 

Data inserimento: 29/08/2014

Ecografia del: 01/08/2014

Strumento: Esaote MyLab 50 Gold - Responsabile Linea Cardio Esaote Regione Marche Dr. Franco Fabi

Sonda: Lineare Multifrequenza 7,5-12 MHz

Età Paziente: M 28 anni

Motivazione dell'esame: da dieci giorni dolore alla coscia destra in sede posteriore comparso durante la partita di calcetto.

Commento all'esame: l'indagine ecografica con sonda lineare multifrequenza da 7,5-12 Mhz a livello posteriore della coscia destra documenta la disomogeneità del muscolo semimembranoso destro con area ipo-anecogena delle dimensioni di 21 mm x 11 mm da ricondurre a lesione muscolare di secondo grado con piccola raccolta sieroematica. Disomogeneità di lieve entità anche a livello del muscolo bicipite femorale destro in sede distale ma senza evidenza di raccolta fluida. Regolare il circolo arterioso e venoso al cavo popliteo. Si allegano 5 (cinque) immagini. Indispensabile il follow up, la valutazione ortopedica-fisiatrica-medico sportiva, del fisioterapista e clinica del medico curante.

Conclusioni: lesione muscolare di secondo grado del muscolo semimembranoso destro (muscle injury in the second degree of the right semimembranosus muscle).

Potete esprimere le vostre osservazioni e commenti sul BLOG.

Presentazione: Dr. Massimo Dolciotti - Ancona

Elaborazione digitale: Andrea Dini - Ancona

 

 


 

Data inserimento: 29/04/2014

Ecografia del: 18/04/2014

Strumento: Esaote MyLab 50 Gold - Responsabile Linea Cardio Esaote Regione Marche Dr. Franco Fabi

Sonda: Lineare Multifrequenza 7,5-12 MHz

Età Paziente: M 18 anni

Motivazione dell'esame: una settimana fa prima della fine della partita di calcio per prendere una palla alta ha avvertito dolore alla regione posteriore della coscia destra.

Commento all'esame: l'indagine ecografica con sonda lineare multifrequenza da 7,5-12 Mhz a livello posteriore della coscia destra nel muscolo semitendinoso in sede miotendinea si documenta area disomogenea delle dimensioni 42 mm di lunghezza per uno spessore di 21 mm da ricondurre a lesione (strappo) muscolare di secondo grado con lieve versamento sieroematico intramuscolare. Si allegano 12 (dodici) immagini indispensabile il follow up, la valutazione ortopedica-fisiatrica, del fisioterapista e clinica del medico curante.

Conclusioni: strappo muscolare di secondo grado in sede miotendinea nel muscolo semitendinoso destro (right semitendinosus muscle injury).

Potete esprimere le vostre osservazioni e commenti sul BLOG.

Presentazione: Dr. Massimo Dolciotti - Ancona

Elaborazione digitale: Andrea Dini - Ancona

 

VISUALIZZA IL VIDEO  

 

LINK ALLA TECNICA ECOGRAFICA 

 

 

 


 

Data inserimento: 24/03/2014

Ecografia del: 21/03/2014 

Strumento: Esaote MyLab 50 Gold - Responsabile Linea Cardio Esaote Regione Marche Dr. Franco Fabi

Sonda: Lineare Multifrequenza 7,5-12 Mhz 

Età Paziente: M 53 anni

Motivazione dell'esame: il giorno 17-02-14 durante l'allenamento di Judo ha avvertito dolore alla regione posteriore della coscia destra.

Commento all'esame: l'indagine ecografica con sonda lineare mutlifrequenza da 7,5 -12 Mhz a livello posteriore della coscia destra a documenta estesa area ipo-anecogena nel muscolo semimembranoso destro in sede miotendinea estesa in senso longitudinale per 59 mm e per uno spessore massimo documentato di 18 mm da ricondurre a lesione muscolare di secondo-terzo grado con ematoma intramuscolare in via di cicatrizzazione . Si allegano 8 (otto) immagini. Indispensabile il follow up, la valutazione ortopedica-fisiatrica, del fisioterapista e clinica del medico curante.

Conclusioni: lesione muscolare di secondo-terzo grado del muscolo semimembranoso destro in via di cicatrizzazione.

Potete esprimere le vostre osservazioni, commenti ed ipotesi diagnostiche sul BLOG.

Presentazione: Dr. Massimo Dolciotti - Ancona

Elaborazione digitale: Andrea Dini - Ancona

 

VISUALIZZA IL VIDEO 

 

 

 


 

 
HOME PAGE