HOME PAGE

 

 

Data inserimento: 17/04/2026

Ecografia del: 15/04/2026

Strumento: Samsung

Sonda: Lineare

Età Paziente: M

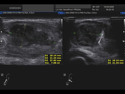
Commento all'esame: ematoma post trauma da sforzo del lungo supinatore dx in anziano sottoposto a terapia con i NAO.

Conclusioni: ematoma del muscolo lungo supinatore destro (hematoma of the right supinator longus muscle).

Realizzazione: Dr. F. Pietro Tarini - Gubbio (PG)

Presentazione: Dr. Massimo Dolciotti - Ancona

Elaborazione digitale: Andrea Dini - Ancona

VISUALIZZA IL VIDEO

 

 

 


 

 

Data inserimento: 16/02/2026

Ecografia del: 09/02/2026

Strumento: Esaote MyLab Eight

Sonda: Lineare Multifrequenza 4-15 MHz e Convex Multifrequenza 1-8 MHz

Età Paziente: M 22 anni

Motivazione dell'esame: da 2 settimane dolore alla radice della coscia destra.

Commento all'esame: le immagini ed il video documentano la lesione di 2° del muscolo ileopsoas destro in sede preinserzionale, delle dimensioni di 69 x 13 mm, con raccolta sieroematica intramuscolare.

Conclusioni: lesione di 2° del muscolo ileopsoas destro (2nd degree lesion of the right iliopsoas muscle).

In collaborazione: Dr.ssa Marica Manfredi - Ancona, Dr. Ilir Qose - Ancona

Presentazione: Dr. Massimo Dolciotti - Ancona

Elaborazione digitale: Andrea Dini - Ancona

VISUALIZZA IL VIDEO

 

 


 

 

Data inserimento: 13/02/2026

Ecografia del: 10/02/2026

Strumento: Samsung

Sonda: Lineare

Età Paziente:

Commento all'esame: rottura della bandelletta laterale MTC-F del II° dito con conseguente lussazione del tendine estensore.

Conclusioni: rottura della bandelletta laterale metacarpo-falangea del 2° dito della mano sinistra (tear of the lateral band of the metacarpophalangeal - MCP - joint of the left index finger).

Realizzazione: Dr. F. Pietro Tarini - Gubbio (PG)

Presentazione: Dr. Massimo Dolciotti - Ancona

Elaborazione digitale: Andrea Dini - Ancona

VISUALIZZA IL VIDEO

 

 


 

 

Data inserimento: 13/02/2026

Ecografia del: 11/02/2026

Strumento: Samsung

Sonda: Lineare

Età Paziente:

Commento all'esame: rottura giunzionale muscolo-tendinea del popliteo.

Conclusioni: rottura miotendinea del muscolo popliteo sinistro (myotendinous tear of the left popliteus muscle).

Realizzazione: Dr. F. Pietro Tarini - Gubbio (PG)

Presentazione: Dr. Massimo Dolciotti - Ancona

Elaborazione digitale: Andrea Dini - Ancona

VISUALIZZA IL VIDEO

 


 

 

Data inserimento: 25/09/2025

Ecografia del: 17/09/2025

Strumento: Esaote MyLab Eight

Sonda: Lineare Multifrequenza 6-18 MHz

Età Paziente: F 84 anni

Motivazione dell'esame: da 8 giorni, incapacità ad estendere il pollice sinistro.

Commento all'esame: le immagini ed il video documentano, al terzo canale del polso sinistro, la lesione completa del tendine del muscolo estensore lungo del pollice.

Conclusioni: lesione completa del tendine del muscolo estensore lungo del pollice (complete tear of the tendon of the extensor pollicis longus muscle).

Presentazione: Dr. Massimo Dolciotti - Ancona

Elaborazione digitale: Andrea Dini - Ancona

VISUALIZZA IL VIDEO

 

 


 

 

Data inserimento: 22/09/2025

Ecografia del: 11/09/2025

Strumento: Esaote MyLab Eight

Sonda: Lineare Multifrequenza 3-13 MHz

Età Paziente: M 67 anni

Motivazione dell'esame:dolore e tumefazione al ginocchio sinistro in sede mediale.

Commento all'esame: le immagini ed il video documentano, a livello del ginocchio sinistro, i tendini della zampa d'oca ispessiti, ispessimento della borsa anserina, delle dimensioni di 30,1 x 9,9 mm, a contenuto denso iperecogeno come da microcalcificazioni e senza incremento di vascolarizzazione.

Conclusioni: borsa anserina del ginocchio sinistro con calcificazioni (anserine bursa of the left knee with calcifications).

Presentazione: Dr. Massimo Dolciotti - Ancona

Elaborazione digitale: Andrea Dini - Ancona

VISUALIZZA IL VIDEO

 

 


 

 

Data inserimento: 12/09/2025

Ecografia del: 01/09/2025

Strumento: Esaote MyLab Eight

Sonda: Lineare Multifrequenza 3-13 MHz

Età Paziente: M 42 anni

Motivazione dell'esame: da circa 2 mesi dolore al gomito destro.

Commento all'esame: le immagini ed il video documentano l'ispessimento, la disomogeneità e la ipoecogenicità dei tendini epicondiloidei di destra, da ricondurre ad epicondilite acuta di moderata entità.

Conclusioni: epicondilite acuta di moderata entità al gomito destro (acute moderate epicondylitis of the right elbow).

Presentazione: Dr. Massimo Dolciotti - Ancona

Elaborazione digitale: Andrea Dini - Ancona

VISUALIZZA IL VIDEO

 

 


 

 

Data inserimento: 31/07/2025

Ecografia del: 24/04/2025

Strumento: Esaote MyLab Eight

Sonda: Lineare Multifrequenza 6-18 MHz

Età Paziente: M 40 anni

Motivazione dell'esame: da 3 mesi dolore al gomito destro

Commento all'esame: le immagini ed il video documentano un'alterazione della struttura fibrillare dei tendini, con un ispessimento e un'alterata ipoecogenicità, delle dimensioni di 3,9x2,6 mm, da ricondurre a lesione parziale, a livello dell'inserzione sull'epicondilo omerale, con incremento della vacolarizzazione.

Conclusioni: lesione parziale dei tendini epicondiloidei di destra (partial tear of the right epicondylar tendons).

Presentazione: Dr. Massimo Dolciotti - Ancona

Elaborazione digitale: Andrea Dini - Ancona

VISUALIZZA IL VIDEO

 

 


 

 

Data inserimento: 28/02/2025

Ecografia del: 24/02/2025

Strumento: Esaote MyLab Eight

Sonda: Lineare Multifrequenza 3-13 MHz

Età Paziente: F 49 anni

Motivazione dell'esame: da 20 giorni dolore al braccio destro

Commento all'esame: le immagini ed il video documentano, al muscolo grande dorsale destro, in sede distale, area disomogenea ipoanecogena, delle dimensioni di 58 x 22 mm, con raccolta sieroematica intramuscolare di moderata entità, da ricondurre a lesione muscolare di 2° grado (strappo).

Conclusioni: lesione di 2° grado al muscolo grande dorsale destro (2nd degree injury to the right latissimus dorsi muscle).

Presentazione: Dr. Massimo Dolciotti - Ancona

Elaborazione digitale: Andrea Dini - Ancona

VISUALIZZA IL VIDEO

 

 


 

 

Data inserimento: 21/02/2025

Ecografia del: 20/10/2024

Strumento: Esaote MyLab Eight

Sonda: Lineare Multifrequenza 3-13 MHz

Età Paziente: M 50 anni

Motivazione dell'esame: dolore in regione pettorale e spalla destra

Commento all'esame: le immagini ed il video documentano la spiccata disomogeneità in sede miotendinea al muscolo grande pettorale destro, delle dimensioni di 83 x 24 mm, con raccolta sieroematica intramuscolare, da ricondurre a lesione muscolare di 2°-3° grado al muscolo grande pettorale destro.

Conclusioni: lesione muscolare di 2°-3° grado al muscolo grande pettorale destro (2nd-3rd degree muscle injury to the right pectoralis major muscle).

Presentazione: Dr. Massimo Dolciotti - Ancona

Elaborazione digitale: Andrea Dini - Ancona

VISUALIZZA IL VIDEO

 

 


 

 

Data inserimento: 24/10/2024

Ecografia del: 21/10/2024

Strumento: Samsung

Sonda: Lineare

Età Paziente: F

Commento all'esame: rottura parcellare del piccolo gluteo.

Conclusioni: rottura parcellare del piccolo gluteo (Partial rupture of the gluteus minimus).

Realizzazione: Dr. F. Pietro Tarini - Gubbio (PG)

Presentazione: Dr. Massimo Dolciotti - Ancona

Elaborazione digitale: Andrea Dini - Ancona

VISUALIZZA IL VIDEO

 


 

 

Data inserimento: 20/09/2024

Ecografia del: 12/09/2024

Strumento: Samsung

Sonda: Lineare

Età Paziente:

Commento all'esame: distrazione incompleta del legamento collaterale ulnare (LCU) MTC-F del pollice dx al versante metacarpale con lieve ispessimento del moncone distale: la flesso-estensione dell’interfalangea mostra un normale scivolamento dell’aponeurosi dell’adduttore al di sopra del LCU senza effetto “Stener”.

Conclusioni: lesione incompleta del legamento collaterale ulnare - LCU - del pollice destro (incomplete injury of the ulnar collateral ligament - UCL - of the right thumb).

Realizzazione: Dr. F. Pietro Tarini - Gubbio (PG)

Presentazione: Dr. Massimo Dolciotti - Ancona

Elaborazione digitale: Andrea Dini - Ancona

VISUALIZZA IL VIDEO

 


 

 

Data inserimento: 09/09/2024

Ecografia del: 04/09/2024

Strumento: Esaote MyLab Eight

Sonda: Lineare Multifrequenza 4-15 MHz e Convex Volumetrica Multifrequenza 1-8 MHz

Età Paziente: M 78 anni

Motivazione dell'esame: tumefazione regione glutea destra, scarsamente dolente, insorta 7 giorni prima per una caduta

Commento all'esame: le immagini ed il video documentano lesione dei muscoli glutei di destra, con vasto ematoma intramuscolare, in paziente in trattamento con NAO.

Conclusioni: lesione dei muscoli glutei di destra con esteso ematoma intramuscolare (right gluteal muscle injury with extensive intramuscular hematoma).

Presentazione: Dr. Massimo Dolciotti - Ancona

Elaborazione digitale: Andrea Dini - Ancona

VISUALIZZA IL VIDEO

 


 

 

Data inserimento: 02/09/2024

Ecografia del: 28/08/2024

Strumento: Samsung

Sonda: Lineare

Età Paziente:

Commento all'esame: teno-vaginalite ipertrofica del tibiale posteriore che presenza incremento di spessore e fissurazione centrale.

Conclusioni: teno-vaginalite ipertrofica del tendine tibiale posteriore (hypertrophic tenosynovitis of the posterior tibial tendon).

Realizzazione: Dr. F. Pietro Tarini - Gubbio (PG)

Presentazione: Dr. Massimo Dolciotti - Ancona

Elaborazione digitale: Andrea Dini - Ancona

VISUALIZZA IL VIDEO

 


 

 

Data inserimento: 05/08/2024

Ecografia del: 01/08/2024

Strumento: Esaote MyLab Eight

Sonda: Lineare Multifrequenza 3-13 MHz

Età Paziente: F 45 anni

Motivazione dell'esame: 6 gg fa trauma contusivo al gomito destro.

Commento all'esame: le immagini ed il video documentano che il muscolo pronatore rotondo è disomogeneo, ispessito, ipoecogeno per circa 45 mm per uno spessore di 20 mm, da ricondurre a lesione muscolare di 2° grado con minimo versamento intramuscolare.

Conclusioni: lesione di 2° grado del muscolo pronatore rotondo destro (2nd degree lesion of the right pronator teres muscle).

Presentazione: Dr. Massimo Dolciotti - Ancona

Elaborazione digitale: Andrea Dini - Ancona

VISUALIZZA IL VIDEO

 


 

 

Data inserimento: 31/07/2024

Ecografia del: 02/02/2024

Strumento: Esaote MyLab Eight

Sonda: Lineare Multifrequenza 4-13 MHz

Età Paziente: M 64 anni

Motivazione dell'esame: da 2 mesi dolore al gomito destro.

Commento all'esame: le immagini ed il video documentano al gomito destro l' ispessimento del tendine degli epicondilodei (anconeo, estensore comune delle dita, estensore proprio del mignolo ed estensore ulnare del carpo) e presenza in sede superficiale di piccole immagini iperecogene, delle dimensioni di 2,7 mm e 3,5 mm, da ricondurre a calcificazioni, evidenza di incremento della vascolarizzazione in sede preinserzionale. Gli elementi ecografici documentati orientano per epicondilite di moderata-severa entità.

Conclusioni: epicondilite di moderata-severa entità del gomito destro (moderate-severe epicondylitis of the right elbow).

Presentazione: Dr. Massimo Dolciotti - Ancona

Elaborazione digitale: Andrea Dini - Ancona

VISUALIZZA IL VIDEO

 


 

 

Data inserimento: 08/07/2024

Ecografia del: 14/06/2024

Strumento: Esaote MyLab Eight

Sonda: Lineare Multifrequenza 6-18 MHz

Età Paziente: F 78 anni

Motivazione dell'esame: da alcuni mesi 3 mesi dolore alla caviglia dx con arrossato cutaneo da alcune settimenae.

Commento all'esame: le immagini ed il video documentano lo spiccato ispessimeno, dei tendini peronei, in particolare il tendine peroneo lungo, con fluido peritendineo, da ricondurre a severa tendinopatia.

Conclusioni: tendinite severa dei tendini peronei di destra (severe tendinitis of the right peroneal tendons).

Presentazione: Dr. Massimo Dolciotti - Ancona

Elaborazione digitale: Andrea Dini - Ancona

VISUALIZZA IL VIDEO

 

 


 

 

Data inserimento: 03/04/2023

Ecografia del: 28/03/2023

Strumento: Esaote MyLab Eight

Sonda: Lineare Multifrequenza 4-13 MHz

Età Paziente: M 25 anni

Motivazione dell'esame: da 3 gg dolore al braccio sinistro con ecchimosi e tumefazione.

Commento all'esame: le immagini ed il video documentano la disomogeneità e l'ipoecogenicità in sede mediale del muscolo tricipite brachiale destro, delle dimensioni di 50 x 13,5 mm, da ricondurre a lesione muscolare di secondo grado, con minima raccolta sieroematica intramuscolare.

Conclusioni: lesione di 2° grado del muscolo tricipite brachiale destro (2nd degree lesion of the right triceps brachii muscle).

Presentazione: Dr. Massimo Dolciotti - Ancona

Elaborazione digitale: Andrea Dini - Ancona

VISUALIZZA IL VIDEO

 

 

 


 

 

Data inserimento: 06/03/2023

Ecografia del: 20/02/2023

Strumento: Esaote MyLab Eight

Sonda: Lineare Multifrequenza 4-13 MHz e Convex Multifrequenza 1-8 MHz

Età Paziente: F 87 anni

Motivazione dell'esame: da 7 gg dolore al polpaccio sinistro.

Commento all'esame: le immagini ed il video documentano che il muscolo soleo sinistro, in sede mediale, è disomogeneo per la presenza di area ipo-anecogena delle dimensioni di 107 mm per uno spessore di 9,4 mm, da ricondurre a lesione muscolare di secondo grado con raccolta sieroematica intramuscolare.

Conclusioni: lesione di 2° grado al muscolo soleo sinistro con ematoma (2nd degree lesion to the left soleus muscle with hematoma).

In collaborazione: Dr.ssa Stefania Pietroni - Ancona

Presentazione: Dr. Massimo Dolciotti - Ancona

Elaborazione digitale: Andrea Dini - Ancona

VISUALIZZA IL VIDEO

 

 


 

 

Data inserimento: 21/12/2022

Ecografia del: 02/12/2022

Strumento: Samsung

Sonda: Lineare

Età Paziente:

Commento all'esame: ematoma in entrambi i retti addominali per trauma distrattivo durante l’attività di palestra.

Conclusioni: ematoma in entrambi i muscoli retti addominali per trauma distrattivo (hematoma in both rectus abdominis muscles due to distraction trauma).

Realizzazione: Dr. F. Pietro Tarini - Gubbio (PG)

Presentazione: Dr. Massimo Dolciotti - Ancona

Elaborazione digitale: Andrea Dini - Ancona

VISUALIZZA IL VIDEO

 

 


 

 

Data inserimento: 19/12/2022

Ecografia del: 03/12/2022

Strumento: Samsung

Sonda: Lineare

Età Paziente:

Commento all'esame:
si evidenzia alla caviglia dx dopo trauma sportivo in flessione plantare massimale/inversione:
A. rottura del fascio postero-inferiore del legamento fibulo-talare;
B. entesopatia calcifica di entrambi i tendini achillei, peraltro quest’ultimi, con normali dimensioni ed ecostruttura;
C. falda fluida di circa 8 mm di spessore max lungo il tratto miotendineo del flessore lungo del I° dito che si estende fino al nodo di Henry ove presenta uno spessore ridotto a circa 5 mm;
D. “os trigonum” bilaterale;
E. minuta lacerazione del legamento tibio-peroneale antero-inferiore con falda fluida ancillare di circa 1.1 mm di spessore;
F. bratta ossea di circa 3 mm di diametro al profilo postero-superiore del talo per verosimile postumo post-impingement con il pilone tibiale.

Conclusioni: trauma sportivo della caviglia destra (sports injury of the right ankle).

Realizzazione: Dr. F. Pietro Tarini - Gubbio (PG)

Presentazione: Dr. Massimo Dolciotti - Ancona

Elaborazione digitale: Andrea Dini - Ancona

VISUALIZZA IL VIDEO

 

 


 

 

Data inserimento: 19/12/2022

Ecografia del: 02/12/2022

Strumento: Samsung

Sonda: Lineare

Età Paziente: M

Commento all'esame: distrazione di II° grave al retto addominale sn e di II° lieve al dx di un giovane durante esercizi in palestra.

Conclusioni: distrazione di II° ai muscoli retti addominali sinistro e destro (2nd degree distraction to the left and right rectus abdominis muscles).

Realizzazione: Dr. F. Pietro Tarini - Gubbio (PG)

Presentazione: Dr. Massimo Dolciotti - Ancona

Elaborazione digitale: Andrea Dini - Ancona

VISUALIZZA IL VIDEO

 

 

 


 

 

Data inserimento: 22/07/2022

Ecografia del: 19/07/2022

Strumento: Samsung

Sonda: Lineare

Età Paziente:

Commento all'esame: rottura a tutto spessore di un tratto inserzionale delle fibre anteriori del trapezio.

Conclusioni: rottura a tutto spessore di un tratto inserzionale delle fibre anteriori del trapezio (full thickness rupture of an insertional section of the anterior fibers of the trapezius).

Realizzazione: Dr. F. Pietro Tarini - Gubbio (PG)

Presentazione: Dr. Massimo Dolciotti - Ancona

Elaborazione digitale: Andrea Dini - Ancona

VISUALIZZA IL VIDEO

 

 

 


 

 

Data inserimento: 06/05/2022

Ecografia del: 26/03/2022

Strumento: Esaote MyLab Eight

Sonda: Lineare Multifrequenza 3-13 MHz e Convex Multifrequenza 1-8 MHz

Età Paziente: F 82 anni

Motivazione dell'esame: tumefazione non dolente al braccio destro.

Commento all'esame: le immagini ed il video documentano formazione ipoecogena al muscolo deltoide destro (fascio mediale), a margini definiti, delle dimensioni di 26,9x11,1, da ricondurre a mixoma.

Conclusioni: mixoma al deltoide destro (right deltoid myxoma).

Presentazione: Dr. Massimo Dolciotti - Ancona

Elaborazione digitale: Andrea Dini - Ancona

VISUALIZZA IL VIDEO

 


 

 

Data inserimento: 02/05/2022

Ecografia del: 28/04/2022

Strumento: Samsung

Sonda: Lineare

Età Paziente: F

Commento all'esame: rottura parziale dello psoas, borsite dello stesso e corpo mobile intra-articolare femoro-acetabolare per frattura parcellare della testa femorale (pt anziana con recente trauma da caduta!).

Conclusioni: rottura parziale del muscolo ileo-psoas (partial rupture of the ileo-psoas muscle).

Realizzazione: Dr. F. Pietro Tarini - Gubbio (PG)

Presentazione: Dr. Massimo Dolciotti - Ancona

Elaborazione digitale: Andrea Dini - Ancona

VISUALIZZA IL VIDEO

 


 

 

Data inserimento: 29/04/2022

Ecografia del: 27/04/2022

Strumento: Samsung

Sonda: Lineare

Età Paziente: M

Commento all'esame: distrazione miotendinea di II° grave (> 50%) del FLA durante contrazione eccentrica in giovane sportivo con stravaso emorragico fino al nodo di Henry.

Conclusioni: lesione di II° del flessore lungo dell'alluce destro (2nd degree injury of the flexor hallucis longus of the right foot).

Realizzazione: Dr. F. Pietro Tarini - Gubbio (PG)

Presentazione: Dr. Massimo Dolciotti - Ancona

Elaborazione digitale: Andrea Dini - Ancona

VISUALIZZA IL VIDEO

 

 


 

 

Data inserimento: 08/04/2022

Ecografia del: 05/04/2022

Strumento: Samsung

Sonda: Lineare

Età Paziente:

Commento all'esame: rottura di II° del legamento “molla” o “spring-ligament” o leg. “calcaneo-navicolare plantare”.

Conclusioni: rottura del legamento calcaneo-navicolare plantare (rupture of the plantar calcaneonavicular ligament).

Realizzazione: Dr. F. Pietro Tarini - Gubbio (PG)

Presentazione: Dr. Massimo Dolciotti - Ancona

Elaborazione digitale: Andrea Dini - Ancona

VISUALIZZA IL VIDEO

 

 

 


 

 

Data inserimento: 21/01/2022

Ecografia del: 18/01/2021

Strumento: Samsung

Sonda: Lineare

Età Paziente: F

Commento all'esame: distrazione parcellare della porzione prossimale del retto addominale dx con ematoma contiguo dopo mammografia: la pt riferisce intensa sintomatologia algica dopo marcata pressione in loco da parte dell’apparecchiatura radiografica.

Conclusioni: distrazione parcellare della porzione prossimale del muscolo retto addominale destro (partial injury of the proximal portion of the right rectus abdominis muscle).

Realizzazione: Dr. F. Pietro Tarini - Gubbio (PG)

Presentazione: Dr. Massimo Dolciotti - Ancona

Elaborazione digitale: Andrea Dini - Ancona

VISUALIZZA IL VIDEO

 


 

 

Data inserimento: 21/01/2022

Ecografia del: 03/01/2021

Strumento: Samsung

Sonda: Lineare

Età Paziente:

Commento all'esame: lacerazione parziale del tendine dell’estensore del III° dito della mano dx che interessa circa 1/3 della sezione assiale con slaminamento longitudinale delle fibre per circa 3.8 mm.

Conclusioni: lacerazione parziale del tendine dell’estensore del III° dito della mano destra (partial tear of the extensor tendon of the third finger of the right hand).

Realizzazione: Dr. F. Pietro Tarini - Gubbio (PG)

Presentazione: Dr. Massimo Dolciotti - Ancona

Elaborazione digitale: Andrea Dini - Ancona

VISUALIZZA IL VIDEO

 


 

 

Data inserimento: 24/12/2021

Ecografia del: 23/12/2021

Strumento: Samsung

Sonda: Lineare

Età Paziente: M

Commento all'esame: maschio adulto con TVS della v. cefalica dopo prelievo + entesopatia del gluteo medio sn con minuta bratta ossea.

Conclusioni: trombosi venosa superficiale della vena cefalica ed entesopatia del gluteo medio sinistro (superficial venous thrombosis of the cephalic vein and enthesopathy of the left middle gluteus).

Realizzazione: Dr. F. Pietro Tarini - Gubbio (PG)

Presentazione: Dr. Massimo Dolciotti - Ancona

Elaborazione digitale: Andrea Dini - Ancona

VISUALIZZA IL VIDEO

 


 

 

Data inserimento: 10/12/2021

Ecografia del: 06/12/2021

Strumento: Samsung

Sonda: Lineare

Età Paziente: M

Commento all'esame: giovane calciatore con algie al versante antero-laterale del piede sn da circa 2 settimane (Rx negativa): distrazione di I° della branca calcaneo-cuboidea del legamento biforcato con bratta ossea di circa 2.9 x 2.4 mm (DT x DL).

Conclusioni: distrazione di I° della branca calcaneo-cuboidea del legamento biforcato del piede sinistro (1st degree distraction of the calcaneocuboid branch of the bifurcate ligament of the left foot).

Realizzazione: Dr. F. Pietro Tarini - Gubbio (PG)

Presentazione: Dr. Massimo Dolciotti - Ancona

Elaborazione digitale: Andrea Dini - Ancona

VISUALIZZA IL VIDEO

 


 

 

Data inserimento: 30/08/2021

Ecografia del: 24/07/2021

Strumento: Samsung

Sonda: Lineare

Età Paziente: M

Commento all'esame: studio dei legamenti del ginocchio sn in giovane con segno del cassetto positivo: ispessimento del LCA suggestivo per lesione.

Conclusioni: lesione del legamento crociato anteriore sinistro (left anterior cruciate ligament injury).

Realizzazione: Dr. F. Pietro Tarini - Gubbio (PG)

Presentazione: Dr. Massimo Dolciotti - Ancona

Elaborazione digitale: Andrea Dini - Ancona

VISUALIZZA IL VIDEO

 

 


 

 

Data inserimento: 27/08/2021

Ecografia del: 09/08/2021

Strumento: Samsung

Sonda: Lineare

Età Paziente: 11 anni

Commento all'esame: ginnasta di 11 anni  con falda fluida di circa 3 x 3 x 7 mm (DAP x DT x DL = 0.04 ml ca) al tratto distale inserzionale del peroneo lungo (PL), che appare di spessore ridotto in prossimità dell’entesi, con immagine calcifica di circa 0.9 x 1.6 x 2.6 mm contigua al profilo del cuneiforme mediale: quadro distrattivo di II° con bratta ossea del PL.

Conclusioni: quadro distrattivo di II° con bratta ossea del peroneo lungo (second degree sprain with bone bract of the peroneus longus).

Realizzazione: Dr. F. Pietro Tarini - Gubbio (PG)

Presentazione: Dr. Massimo Dolciotti - Ancona

Elaborazione digitale: Andrea Dini - Ancona

VISUALIZZA IL VIDEO

 

 


 

 

Data inserimento: 27/08/2021

Ecografia del: 19/07/2021

Strumento: Samsung

Sonda: Lineare

Età Paziente:

Motivo dell'esame:

1) quadro clinico di epicondilite dx;
2) algie al lato ulno-volare del V° raggio della mano dx;
3) algie al lato dorso-mediale del mesopiede sn;
4) coxalgia dx.

Commento all'esame:

Si rileva
1) iperemia, ipoecogenicità ed ispessimento (6.8 vs 6.2 mm a sn) del tendine comune degli estensori;
2) sesamoide “incostante” adiacente al profilo mediale dei flessori del V° dito che si presenta frammentato, rispetto al contro lato, con iperemia dei tessuti molli limitrofi (quadro di sesamoidite);
3) immagine compatibile con “os intermetatarseum” monolaterale che si articola con osteofita del cuneiforme mediale;
4) lieve versamento coxo-femorale.

Conclusioni: ecografia muscolo scheletrica (skeletal muscle ultrasound).

Realizzazione: Dr. F. Pietro Tarini - Gubbio (PG)

Presentazione: Dr. Massimo Dolciotti - Ancona

Elaborazione digitale: Andrea Dini - Ancona

VISUALIZZA IL VIDEO

 

 


 

 

Data inserimento: 09/07/2021

Ecografia del: 08/07/2021

Strumento: Samsung

Sonda: Lineare

Età Paziente: M 60 anni

Commento all'esame:

si evidenzia alla caviglia sn di uomo sessantenne dopo 2 settimane da trauma distorsivo in inversione:

A. ispessimento del legamento peroneo-astragalico anteriore per distrazione di I° (spessore di circa 2.63 mm vs 1.97 a dx);

B. ispessimento del legamento calcaneo-cuboideo dorsale (1.45 mm vs 0.89 a dx) con bratta ossea di circa 4.6 mm di diametro (DL) al versante calcaneare;

C. ispessimento del legamento astragalo-scafoideo dorsale (3 mm vs 1.98 a dx) con frammento osseo di circa 6.8 mm (DL) al versante talare;

D. esito distrattivo parziale del legamento tibio-calcaneare con microcalcificazione inserzionale al lato distale;

E. entesofita del tendine achilleo (che appare nella norma!) di circa 2.2 mm di spessore a dx e 2.7 mm a sn;

F. indenne il legamento tibio-peroneale antero-inferiore, il leg. di Bassett, il leg. peroneo-astragalico posteriore, il leg. trasverso, il leg. tibio-peroneale post.-inferiore;

G. presenza di “os tibiale esterno” bilaterale tipo II (in numero di 2 a sn e 3 a dx: DD con frammentazione dello stesso!).
.

Conclusioni: trauma distorsivo in inversione alla caviglia sinistra (sprain trauma in inversion to the left ankle).

Realizzazione: Dr. F. Pietro Tarini - Gubbio (PG)

Presentazione: Dr. Massimo Dolciotti - Ancona

Elaborazione digitale: Andrea Dini - Ancona

VISUALIZZA IL VIDEO

 

 


 

 

Data inserimento: 25/06/2021

Ecografia del: 18/06/2021

Strumento: Esaote MyLab Twice

Sonda: Lineare Multifrequenza 4-13 MHz

Età Paziente: M 24 anni

Motivazione dell'esame: trauma contusivo spalla destra 10 gioorni prima durante la partita di beach volley.

Commento all'esame: le immagini ed il video documentano lesione muscolare delle dimensioni di 38 x 11 mm del fascio muscolare del trapezio che si inserisce sulla clavicola, con raccolta sieroematica intramuscolare da ricondurre a lesione muscolare di 2° grado.

Conclusioni: lesione di 2° grado del muscolo trapezio destro (2nd degree lesion of the right trapezius muscle).

In collaborazione: Dr. Claudio Di Patrizio - Ancona

Presentazione: Dr. Massimo Dolciotti - Ancona

Elaborazione digitale: Andrea Dini - Ancona

VISUALIZZA IL VIDEO

 

 


 

 

Data inserimento: 21/06/2021

Ecografia del: 19/06/2021

Strumento: Esaote MyLab Twice

Sonda: Lineare Multifrequenza 4-13 MHz / Convex Multifrequenza 1-8 MHz

Età Paziente: M 49 anni

Motivazione dell'esame: dolore in sede del gluteo destro insorto 40 giorni prima a seguito di caduta dalla moto.

Commento all'esame: le immagini ed il video documentano in regione glutea destra, lesione muscolare di secondo - terzo grado (strappo), del muscolo grande gluteo destro in sede medio - distale, con abbondante raccolta sieroematica intramuscolare.

Conclusioni: lesione di 2°-3° grado del muscolo grande gluteo destro (2nd-3rd degree lesion of the right gluteus maximus muscle).

In collaborazione: Dr. Claudio Di Patrizio - Ancona

Presentazione: Dr. Massimo Dolciotti - Ancona

Elaborazione digitale: Andrea Dini - Ancona

VISUALIZZA IL VIDEO

 

 


 

 

 

Data inserimento: 24/03/2021

Ecografia del: 18/03/2021

Strumento: Samsung

Sonda: Lineare

Età Paziente: M

Commento all'esame:

A. Lesione distrattiva del legamento fibulo-talare anteriore dx: la componente antero-superiore (A-S) del legamento stesso appare edematosa ed ispessita (3.8 vs 3.2 mm a sn) con perdita della struttura fibrillare; la componente postero-inferiore appare interrotta a tutto spessore;
B. legamento peroneo-calcaneare (P-C) ispessito, ipoecogeno con struttura omogenea per edema (spessore di circa 3.1 mm vs 1.8 mm a sn);
C. indenne il legamento peroneo-astragalico posteriore.

Conclusioni: lesione distrattiva della caviglia destra (distraction injury of the right ankle).

Realizzazione: Dr. F. Pietro Tarini - Gubbio (PG)

Presentazione: Dr. Massimo Dolciotti - Ancona

Elaborazione digitale: Andrea Dini - Ancona

VISUALIZZA IL VIDEO

 

 


 

 

Data inserimento: 19/03/2021

Ecografia del: 18/03/2019

Strumento: Esaote MyLab Twice

Sonda: Lineare Multifrequenza 3-13 MHz e 4-13 MHz / Convex Multifrequenza1-8 MHz

Età Paziente: M 42 anni

Motivazione dell'esame: da 3 mesi dolore al polpaccio sinistro.

Commento all'esame: le immagini ed il video documentano al muscolo soleo sinistro, in sede mediale, area disomogenea ed ipo-anecogena, delle dimensioni di 77 x 8,7 mm (misura ottenuta per asse lungo o lomgitudinale), da ricondurre a lesione (strappo) muscolare di secondo grado, con raccolta sieroematica intramuscolare.

Conclusioni: lesione di secondo grado del muscolo soleo sinistro (2nd degree lesion of the left soleus muscle).

Presentazione: Dr. Massimo Dolciotti - Ancona

Elaborazione digitale: Andrea Dini - Ancona

VISUALIZZA IL VIDEO

 

 


 

 

Data inserimento: 13/01/2021

Ecografia del: 22/12/2020

Strumento: Esaote MyLab Twice

Sonda: Lineare Multifrequenza 3-13 MHz

Età Paziente: F 50 anni

Motivazione dell'esame: dolore al basso addome insorto 1-2 giorni prima.

Commento all'esame: le immagini ed il video documentano la lesione del muscolo retto addominale destro in sede sotto-ombelicale, di secondo-terzo grado, con estesa raccolta sierematica.

Conclusioni: lesione di 2°-3° grado del muscolo retto addominale destro (2nd-3rd degree lesion of the right rectus abdominis muscle).

Presentazione: Dr. Massimo Dolciotti - Ancona

Elaborazione digitale: Andrea Dini - Ancona

VISUALIZZA IL VIDEO

 

 


 

Data inserimento: 21/12/2020

Ecografia del: 10/12/2020

Strumento: Samsung

Sonda: Lineare

Età Paziente:

Commento all'esame:
A. entesopatia microcalcifica del tendine comune degli estensori con minuto slaminamento al versante profondo di circa 1.3 x 3.2 x 3.9 mm (DAP x DT x DL) in presenza di moderata iperemia e falda fluida di circa 2.7 mm di spessore, al recesso laterale, ove non si reperta la frangia/plica sinoviale per verosimile lesione della stessa, né il leg. collaterale radiale; indenne il leg. collaterale laterale ulnare ed il legamento anulare;

B. assenza di neuromi a carico del n. radiale e dei suoi rami (NIP e ramo sensitivo) o versamento articolare.

Conclusioni: epicondilite gomito sinistro (left elbow epicondylitis).

Realizzazione: Dr. F. Pietro Tarini - Gubbio (PG)

Presentazione: Dr. Massimo Dolciotti - Ancona

Elaborazione digitale: Andrea Dini - Ancona

VISUALIZZA IL VIDEO

 


 

 

Data inserimento: 11/11/2020

Ecografia del: 10/11/2020

Strumento: Samsung

Sonda: Lineare

Età Paziente: M

Commento all'esame: lacerazione del fascio anteriore/medio del legamento collaterale ulnare mediale sn in pt dedito ad attività manuali pesanti.

Conclusioni: lacerazione del legamento collaterale ulnare mediale sinistro (tear of the left medial ulnar collateral ligament).

Realizzazione: Dr. F. Pietro Tarini - Gubbio (PG)

Presentazione: Dr. Massimo Dolciotti - Ancona

Elaborazione digitale: Andrea Dini - Ancona

VISUALIZZA IL VIDEO

 

 


 

 

Data inserimento: 11/11/2020

Ecografia del: 06/11/2020

Strumento: Samsung

Sonda: Lineare

Età Paziente:

Commento all'esame:
ETG in altra sede: sospetto pseudoaneurisma della radiale al polso di 5.5 mm.
Motivo dell’esame: algie alla regione volare radiale del polso sn da circa 3 mesi.
Si evidenzia al polso sn:
A. assenza di aneurismi/pseudoaneurismi dell’art. radiale;
B. fissurazione di circa 0.6 x 3.5 x 4 mm (DAP x DT x DL) con peritendinite del flessore radiale del carpo in prossimità dell’art. trapezio-navicolare adiacente al ramo palmare superficiale dell’art. radiale.

Conclusioni: fissurazione con peritendinite del flessore radiale del carpo sinistro (fissuration with left Flexor Carpi Radialis tendinitis).

Realizzazione: Dr. F. Pietro Tarini - Gubbio (PG)

Presentazione: Dr. Massimo Dolciotti - Ancona

Elaborazione digitale: Andrea Dini - Ancona

VISUALIZZA IL VIDEO

 

 


 

 

Data inserimento: 23/09/2020

Ecografia del: 19/09/2020

Strumento: Samsung

Sonda: Lineare

Età Paziente:

Commento all'esame: sublussazione del peroneo lungo dx per lassità del retinacolo superiore: confronto con il contro lato.

Conclusioni: sublussazione del peroneo lungo destro (subluxation of the right peroneal longus).

Realizzazione: Dr. F. Pietro Tarini - Gubbio (PG)

Presentazione: Dr. Massimo Dolciotti - Ancona

Elaborazione digitale: Andrea Dini - Ancona

VISUALIZZA IL VIDEO

 

 


 

 

Data inserimento: 16/09/2020

Ecografia del: 14/09/2020

Strumento: Samsung

Sonda: Lineare

Età Paziente:

Commento all'esame: dopo trauma da caduta, ematoma da frattura del sottocute sec. Morel-Lavallée e lacerazione del legamento menisco-tibiale del LCM.

Conclusioni: lesione del legamento collaterale mediale (injury of the medial collateral ligament).

Realizzazione: Dr. F. Pietro Tarini - Gubbio (PG)

Presentazione: Dr. Massimo Dolciotti - Ancona

Elaborazione digitale: Andrea Dini - Ancona

VISUALIZZA IL VIDEO

 

 


 

Data inserimento: 09/09/2020

Ecografia del: 25/08/2020

Strumento: Esaote MyLab Twice

Sonda: Lineare Multifrequenza 4-13 MHz

Età Paziente: M 64 anni

Motivazione dell'esame: tumefazione polso destro da 6-7 mesi molto dolente.

Commento all'esame: le immagini ed il video documentano l'ispessimento e l'arrotondamento dei tendini estensori del 4° compartimento al polso destro.

Conclusioni: tendinite severa dei tendini estensori delle dita della mano destra (severe tendonitis of the extensor tendons of the fingers of the right hand).

Presentazione: Dr. Massimo Dolciotti - Ancona

Elaborazione digitale: Andrea Dini - Ancona

VISUALIZZA IL VIDEO

 

 


 

 

Data inserimento: 05/08/2020

Ecografia del: 01/08/2020

Strumento: Samsung

Sonda: Lineare

Età Paziente:

Commento all'esame: versamento tibio-tarsico in pt con lacerazione del legamento tibio-astragalico e bratta ossea.

Conclusioni: lacerazione del legamento tibio-astragalico e bratta ossea (laceration of the tibio-talar ligament and bone bract).

Realizzazione: Dr. F. Pietro Tarini - Gubbio (PG)

Presentazione: Dr. Massimo Dolciotti - Ancona

Elaborazione digitale: Andrea Dini - Ancona

VISUALIZZA IL VIDEO

 

 


 

Data inserimento: 18/03/2020

Ecografia del: 05/02/2020

Strumento: Esaote MyLab Twice

Sonda: Lineare Multifrequenza 4-13 MHz e Convex Multifrequenza 1-8 MHz

Età Paziente: M 15 anni

Motivazione dell'esame: da 1 mese, dolore in sede adduttoria sinistra.

Commento all'esame: le immagini ed il video documentano immagine anecogena in sede preinserzionale del muscolo ileo-psoas sinistro, da ricondurre a lesione muscolare di secondo grado, con raccolta sierematica intramuscolare.

Conclusioni: lesione muscolare di secondo grado del muscolo ileo-psoas sinistro (second degree muscle injury of the left iliopsoas muscle).

Presentazione: Dr. Massimo Dolciotti - Ancona

Elaborazione digitale: Andrea Dini - Ancona

VISUALIZZA IL VIDEO

 


 

 

 

 

 

Data inserimento: 05/03/2020

Ecografia del: 13/02/2020

Strumento: Samsung

Sonda: Lineare

Età Paziente:

Commento all'esame: immagine ipo-anecogena di circa 4 x 5 x 5 mm (DAP x DT x DL = 0.05 ml ca), a contorni lisci, margini lievemente sfumati, indovata al di sotto del piano muscolare miloioideo; la lesione appare elastograficamente “deformabile/”soft” con iperemia circostante: quadro suggestivo per ascesso del muscolo genio-ioideo dx.

Conclusioni: ascesso del muscolo genio-ioideo destro (right geniohyoid muscle abscess).

Realizzazione: Dr. F. Pietro Tarini - Gubbio (PG)

Presentazione: Dr. Massimo Dolciotti - Ancona

Elaborazione digitale: Andrea Dini - Ancona

VISUALIZZA IL VIDEO

 


 

 

Data inserimento: 12/02/2020

Ecografia del: 05/02/2020

Strumento: Samsung

Sonda: Lineare

Età Paziente:

Commento all'esame: lesione lacerativa parziale alla SIAI (spina iliaca anteriore inferiore) del tendine retto femorale.

Conclusioni: lesione al tendine retto femorale sinistro (lesion in the left rectus femoris tendon).

Realizzazione: Dr. F. Pietro Tarini - Gubbio (PG)

Presentazione: Dr. Massimo Dolciotti - Ancona

Elaborazione digitale: Andrea Dini - Ancona

VISUALIZZA IL VIDEO

 

 


 

 

Data inserimento: 22/01/2020

Ecografia del: 18/01/2020

Strumento: Samsung

Sonda: Lineare

Età Paziente:

Commento all'esame: trauma in inversione alla caviglia dx di circa 1 mese fa, con dolore insorgente al comparto laterale durante l’attività sportiva ed evocato alla ecopalpazione, di pallavolista: bratta ossea di circa 4.7 mm di diam. max all’inserzione talare del legamento astragalo-calcaneare laterale: quest’ultimo, in confronto al contro lato, appare lievemente assottigliato (1.6 vs 2 mm a sn in sezione assiale).

Conclusioni: lesione (bratta ossea) all’inserzione talare del legamento astragalo-calcaneare laterale destro (bone bract at the talar insertion of the right lateral astragalus-calcaneal ligament).

Realizzazione: Dr. F. Pietro Tarini - Gubbio (PG)

Presentazione: Dr. Massimo Dolciotti - Ancona

Elaborazione digitale: Andrea Dini - Ancona

VISUALIZZA IL VIDEO


 

 

Data inserimento: 20/12/2019

Ecografia del: 17/12/2019

Strumento: Samsung

Sonda: Lineare

Età Paziente: M 70 anni

Commento all'esame: morbo di Ledderhose in settantenne.

Conclusioni: morbo di Ledderhose (Ledderhose disease).

Realizzazione: Dr. F. Pietro Tarini - Gubbio (PG)

Presentazione: Dr. Massimo Dolciotti - Ancona

Elaborazione digitale: Andrea Dini - Ancona

 


 

Data inserimento: 11/12/2019

Ecografia del: 07/12/2019

Strumento: Samsung

Sonda: Lineare

Età Paziente:

Commento all'esame: Si evidenzia
A. lesione bilaterale inserzionale del medio gluteo:
a. a sn di circa 2.5 x 10 mm (spessore x estensione assiale) con diastasi del moncone di circa 10 mm;
b. a dx di circa 4 x 8 mm con diastasi del moncone di circa 10 mm; la porzione posteriore del restante tendine mostra una calcificazione peri-inserzionale di circa 6 mm di diam. longitudinale;
c. irregolarità del profilo trocanterico per la presenza di numerose microerosioni (> a dx);
B. minuta lacerazione del cercine cotiloideo bilaterale (> dx con diastasi di circa 2.5 mm per una estensione inserzionale di circa 10 mm);
C. assenza di versamento rilevabile al recesso anteriore della cavità acetabolare in ambo i lati;
D. meniscosi mediale bilaterale senza apparenti lesioni lacerative (esame parziale per i limiti della metodica!);
E. borsite bilaterale delle inserzioni anserine:
d. a sn di circa 1 x 6 x 5 mm (DAP x DT x DL);
e. a dx di circa 1.6 x 5 x 4 mm.

Conclusioni: lesione inserzionale bilaterale del medio gluteo (bilateral insertional injury of the gluteus medius).

Realizzazione: Dr. F. Pietro Tarini - Gubbio (PG)

Presentazione: Dr. Massimo Dolciotti - Ancona

Elaborazione digitale: Andrea Dini - Ancona

VISUALIZZA IL VIDEO

 

 


 

 

Data inserimento: 15/11/2019

Ecografia del: 14/11/2019

Strumento: Samsung

Sonda: Lineare

Età Paziente: M 60 anni

Commento all'esame: dopo trauma da caduta di maschio 60enne persiste dolore al gomito sn dopo 3 mesi da intervento per frattura olecranica:

A. assenza di stenosi lungo il decorso, alla regione del gomito sn, dei nervi ulnare (sezione del nervo a monte del canale ulnare, al di sopra del leg. di Osborne, < 9 mm2), del nervo mediano e del nervo radiale nelle due componenti (superficiale e profondo);
B. assenza di lesioni del tendine congiunto dei flessori e degli epitrocleari nonché dei legamenti collaterali;
C. disomogeneità dell’entesi tricipitale con numerosi artefatti (“ring down artifact”), per verosimile presenza di mezzi di sintesi metallici, in assenza di lesioni lacerative del tendine stesso;
D. falda anecogena, da versamento articolare, di circa 1.3 ml: presenza di corpo mobile calcifico di circa 1.7 mm di diametro;
E. calcificazione al versante radiale del legamento anulare che appare ispessito (DAP di circa 2.2 mm vs 1.9 mm a dx).

Conclusioni: esiti intervento per frattura olecranica (outcomes intervention for olecranon fracture).

Realizzazione: Dr. F. Pietro Tarini - Gubbio (PG)

Presentazione: Dr. Massimo Dolciotti - Ancona

Elaborazione digitale: Andrea Dini - Ancona

VISUALIZZA IL VIDEO

 

 


 

 

Data inserimento: 25/09/2019

Ecografia del: 21/09/2019

Strumento: Samsung

Sonda: Lineare

Età Paziente: M

Commento all'esame: uomo di mezza età grande camminatore con comparsa di piede piatto, pronato/valgo: rottura completa del tendine del tibiale posteriore con moncone, inserito al navicolare, di circa 33 mm; presenza di duplice “ os navicularis” (ON); unico ON anche a dx e lacerazione parziale, al versante calcaneare, del legamento calcaneo-talo-navicolare plantare.

Conclusioni: rottura completa del tendine del tibiale posteriore sinistro (complete rupture of the left posterior tibial tendon).

Realizzazione: Dr. F. Pietro Tarini - Gubbio (PG)

Presentazione: Dr. Massimo Dolciotti - Ancona

Elaborazione digitale: Andrea Dini - Ancona

VISUALIZZA IL VIDEO

 


 

Data inserimento: 07/06/2019

Ecografia del: 16/05/2019

Strumento: Esaote MyLab Twice

Sonda: Lineare Multifrequenza 4-13 MHz

Età Paziente: M 66 anni

Motivazione dell'esame: da 10 gg dolore al ginocchio sinistro con edema.

Commento all'esame: le immagini ed il video documentano che il legamento collaterale interno sinistro è spiccatamente ispessito in sede prossimale con immagine iperecogena delle dimensioni di 20,6 x 5,3 mm da ricondurre a calcificazione. I tendini della zampa d'oca sono regolari.

Conclusioni: calcificazione del legamento collaterale interno sinistro (calcification of the left internal collateral ligament).

In collaborazione: Dr. Pietropaolo Nicolini - Ancona

Presentazione: Dr. Massimo Dolciotti - Ancona

Elaborazione digitale: Andrea Dini - Ancona

VISUALIZZA IL VIDEO

 

 


 

 

Data inserimento: 03/05/2019

Ecografia del: 28/04/2019

Strumento: Samsung

Sonda: Lineare

Età Paziente:

Commento all'esame:

A. In giovane atleta con algie alla caviglia sn normali appaiono il legamento deltoideo nei suoi elementi medio-posteriori tibio-calcaneare e tibio astragalico posteriore (sia il fascio superficiale e sia il fascicolo profondo), il legamento peroneo-astragalico posteriore, il leg. PAA (sia il fascicolo ant.-sup. e sia il postero-inferiore), il leg. peroneo-calcaneare e il tibio-peroneale posteriore;
B. nella norma il tendine achilleo;
C. presenza di os tibiale externum tipo I (presente nel 30%);
D. distensione della borsa retrocalcaneare profonda sn (DL circa 5.6 mm): borsite.

Conclusioni: os tibiale externum tipo I e borsite retrocalcaneare profonda sinistra (os tibiale externum type I and left deep retrocalcaneal bursitis).

Realizzazione: Dr. F. Pietro Tarini - Gubbio (PG)

Presentazione: Dr. Massimo Dolciotti - Ancona

Elaborazione digitale: Andrea Dini - Ancona

VISUALIZZA IL VIDEO

 


 

 

 

Data inserimento: 12/04/2019

Ecografia del: 10/04/2019

Strumento: Samsung

Sonda: Lineare

Età Paziente:

Commento all'esame: lieve falda fluida endoarticolare alla MCF del V° dito della mano dx con lacerazione sub-totale del legamento collaterale ulnare.

Conclusioni: lesione del legamento collaterale ulnare del quinto dito della mano destra (injury of the ulnar collateral ligament of the fifth finger of the right hand).

Realizzazione: Dr. F. Pietro Tarini - Gubbio (PG)

Presentazione: Dr. Massimo Dolciotti - Ancona

Elaborazione digitale: Andrea Dini - Ancona

VISUALIZZA IL VIDEO

 


 

Data inserimento: 05/04/2019

Ecografia del: 29/03/2019

Strumento: Esaote MyLab Twice

Sonda: Lineare Multifrequenza 4-13 MHz

Età Paziente: M 55 anni

Motivazione dell'esame: da 2 settimane dolore al polpaccio dx insorto durante una camminata veloce.

Commento all'esame: le immagini ed il video documentano al muscolo soleo destro, in sede prossimale, area disomogenea ed ipo-anecogena, delle dimensioni di 46,8x7,4 mm (misura ottenuta per asse lungo o lomgitudinale), da ricondurre a lesione muscolare di secondo grado, con raccolta sierematica intramuscolare.

Conclusioni: lesione di secondo grado del muscolo soleo destro (2nd degree lesion of the right soleus muscle).

In collaborazione: Dr. Stefano Stronati - Ancona

Presentazione: Dr. Massimo Dolciotti - Ancona

Elaborazione digitale: Andrea Dini - Ancona

VISUALIZZA IL VIDEO

 

 


 

 

Data inserimento: 08/03/2019

Ecografia del: 07/03/2019

Strumento: Samsung

Sonda: Lineare

Età Paziente:

Commento all'esame: cisti con unico setto paratendinea del terzo peroneo.

Conclusioni: cisti paratendinea del terzo peroneo del piede destro (cyst paratendinea of the third peroneus of the right foot).

Realizzazione: Dr. F. Pietro Tarini - Gubbio (PG)

Presentazione: Dr. Massimo Dolciotti - Ancona

Elaborazione digitale: Andrea Dini - Ancona

VISUALIZZA IL VIDEO

 


 

 

Data inserimento: 28/09/2018

Ecografia del: 26/09/2018

Strumento: Esaote MyLab Twice

Sonda: Lineare Multifrequenza 4-13 MHz

Età Paziente: M 40 anni

Motivazione dell'esame: da 3 mesi, dolore al gomito destro.

Commento all'esame: le immagini ed il video documentano la disomogeneità, l'ispessimento in sede inserzionale del tendine comune degli epicondiloidei laterali, con piccole aree ipoecogene da ricondurre a lesioni parziali.

Conclusioni: epicondilite destra severa (severe right epicondylitis).

Presentazione: Dr. Massimo Dolciotti - Ancona

Elaborazione digitale: Andrea Dini - Ancona

VISUALIZZA IL VIDEO

 

 


 

Data inserimento: 02/03/2018

Ecografia del: 28/02/2018

Strumento: Esaote MyLab 50 Gold

Sonda: Lineare Multifrequenza 7,5-12 MHz

Età Paziente: M 23 anni

Motivazione dell'esame: da 8 gg dolore alla coscia dx in sede posteriore occorsogli durante l'allenamento di calcio.

Commento all'esame: l'indagine ecografica con sonda lineare multifrequenza da 7,5-12 Mhz documenta a livello medio-prossimale del muscolo bicipite femorale dx al capo lungo area disomogenea, ipoecogena delle dimensioni di 58 x 16 mm misura ottenuta per asse lungo o longitudinale da ricondurre a lesione muscolare di 2° grado con evidenza di raccolta sieroematica intramuscolare.

Conclusioni: lesione di 2° grado del muscolo bicipite femorale destro capo lungo (lesion 2nd degree of the right biceps femoral muscle).

Presentazione: Dr. Massimo Dolciotti - Ancona

Elaborazione digitale: Andrea Dini - Ancona

VISUALIZZA IL VIDEO

 

 


 

Data inserimento: 24/01/2018

Ecografia del: 20/01/2018

Strumento: Esaote MyLab 50 Gold

Sonda: Lineare Multifrequenza 7,5-12 MHz

Età Paziente: M 52 anni

Motivazione dell'esame: follow up a 20 giorni di strappo al muscolo retto femorale destro.

Commento all'esame: le immagini ed il video documentano la lesione (strappo 2° grado) in sede medio-distale del muscolo bicipite femorale destro, con residua raccolta sierematica intramuscolare.

Conclusioni: follow up di lesione di 2° grado del muscolo bicipite femorale destro (follow up of lesion 2nd degree of the short right head biceps femoral muscle).

In collaborazione: Dr. Marco Griffoni - Ancona

Presentazione: Dr. Massimo Dolciotti - Ancona

Elaborazione digitale: Andrea Dini - Ancona

VISUALIZZA IL VIDEO

 

 


 

Data inserimento: 10/01/2018

Ecografia del: 29/12/2017

Strumento: Esaote MyLab 50 Gold

Sonda: Lineare Multifrequenza 7,5-12 MHz

Età Paziente: M 52 anni

Motivazione dell'esame: da tre giorni dolore ed echimosi alla coscia destra in sede posteriore.

Commento all'esame: le immagini ed il video documentano la lesione (strappo 2° grado) in sede medio-distale del muscolo bicipite femorale capo breve destro, con abbondante raccolta sierematica intramuscolare.

Conclusioni: lesione di 2° grado del muscolo bicipite femorale capo breve destro (lesion 2nd degree of the short right head biceps femoral muscle).

In collaborazione: Dr. Marco Griffoni - Ancona

Presentazione: Dr. Massimo Dolciotti - Ancona

Elaborazione digitale: Andrea Dini - Ancona

VISUALIZZA IL VIDEO

 

 


 

Data inserimento: 06/12/2017

Ecografia del: 23/11/2017

Strumento: Esaote MyLab 50 Gold

Sonda: Lineare Multifrequenza 7,5-12 MHz

Età Paziente: M 72 anni

Motivazione dell'esame: da 2 settimane dolore al polpaccio sinistro.

Commento all'esame: le immagini ed il video documentano la lesione (strappo 2° grado) in sede prossimale del muscolo soleo sinistro, con abbondante raccolta sierematica intramuscolare.

Conclusioni: lesione di 2° grado del muscolo soleo sinistro (lesion 2nd degree of the left soleus muscle).

In collaborazione: Dr.ssa Stefania Pietroni - Ancona

Presentazione: Dr. Massimo Dolciotti - Ancona

Elaborazione digitale: Andrea Dini - Ancona

VISUALIZZA IL VIDEO

 

 


 

Data inserimento: 04/10/2017

Ecografia del: 03/10/2017

Strumento: Esaote MyLab 50 Gold

Sonda: Lineare Multifrequenza 7,5-12 MHz

Età Paziente: M 57 anni

Motivazione dell'esame: da 2 mesi circa, incapacità ad estendere e flettere l'avambraccio destro.

Commento all'esame: le immagini ed il video documentano versamento articolare di lieve/moderata entità al gomito destro.

Conclusioni: versamento articolare al gomito destro (right elbow joint effusion).

Presentazione: Dr. Massimo Dolciotti - Ancona

Elaborazione digitale: Andrea Dini - Ancona

VISUALIZZA IL VIDEO

 

 


Data inserimento: 30/04/2017

Ecografia del: 15/03/2017

Strumento: Esaote MyLab 50 Gold

Sonda: Lineare Multifrequenza 7,5-12 MHz

Età Paziente: F 15 anni

Motivazione dell'esame: follow-up di lesione del muscolo retto addominale destro, insorta quaranta giorni prima durante un allenamento di ginnastica artistica.

Commento all'esame: le immagini ed il video documentano area disomogenea, ipo-iperecogena nel muscolo retto addominale destro, in sede medio-distale, da ricondurre a lesione muscolare di secondo grado in via di cicatrizzazione.

Conclusioni: Lesione di secondo grado del muscolo retto addominale destro (second degree injury of the right rectus abdominis).

Presentazione: Dr. Massimo Dolciotti - Ancona

Elaborazione digitale: Andrea Dini - Ancona

 

VISUALIZZA IL VIDEO

 

 


 

 

Data inserimento: 07/04/2017

Ecografia del: 24/03/2017

Strumento: Samsung

Sonda: Lineare

Età Paziente: F 67 anni

Commento all'esame: rottura di II° del soleo dx in donna 67enne.

Conclusioni: rottura di secondo grado del muscolo soleo destro (rupture of the second degree of the right soleus muscle).

Realizzazione: Dr. F. Pietro Tarini - Gubbio (PG)

Presentazione: Dr. Massimo Dolciotti - Ancona

Elaborazione digitale: Andrea Dini - Ancona

 

VISUALIZZA IL VIDEO

 


 

 

Data inserimento: 27/01/2017

Ecografia del: 25/01/2017

Strumento: Samsung

Sonda: Lineare

Età Paziente:

Commento all'esame: tendinopatia calcifica del gluteo medio destro.

Conclusioni: tendinopatia calcifica del gluteo medio destro (calcific tendinopathy of the right gluteus medius).

Realizzazione: Dr. F. Pietro Tarini - Gubbio (PG)

Presentazione: Dr. Massimo Dolciotti - Ancona

Elaborazione digitale: Andrea Dini - Ancona

 

 


 

 

Data inserimento: 29/07/2016

Ecografia del: 28/07/2016

Strumento: Esaote MyLab Class C

Sonda: Lineare Multifrequenza 4-13 MHz

Età Paziente: F

Motivazione dell'esame: una settimana fa, mentre ballava (giovane ballerina!), avvertiva uno scroscio all’anca dx con impotenza funzionale parziale.

Commento all'esame: si evidenzia in sede di reperto clinico minuto distacco parcellare della SIAS dx all’inserzione del sartorio.

Conclusioni: distacco parcellare della Spina Iliaca Antero Superiore (detachment of Antero Superior Iliac Spine).

Realizzazione: Dr. F. Pietro Tarini - Gubbio (PG)

Presentazione: Dr. Massimo Dolciotti - Ancona

Elaborazione digitale: Andrea Dini - Ancona

VISUALIZZA IL VIDEO

 

 


 

Data inserimento: 09/12/2015

Ecografia del: 07/12/2015

Strumento: Esaote MyLab 50 Gold

Sonda: Lineare Multifrequenza 7,5-12 MHz

Età Paziente: M 29 anni

Motivazione dell'esame: dolore al fianco sinistro insorto 24 ore prima insorto dopo la caduta durante una partita di calcio.

Commento all'esame: le immagini ed il video documentano il muscolo obliquo interno sinistro disomogeneo, aumentato di spessore, con area ipo-iperecogena, delle dimensioni di 44 x 15 mm, da ricondurre a lesione (strappo) muscolare di secondo grado.

Conclusioni: lesione di secondo grado (strappo) al muscolo obliquo interno di sinistra (left internal oblique muscle's rip).

Presentazione: Dr. Massimo Dolciotti - Ancona

Elaborazione digitale: Andrea Dini - Ancona

VISUALIZZA IL VIDEO

 

 


 

 

Data inserimento: 23/11/2015

Ecografia del: 22/11/2015

Strumento: Esaote MyLab Class C

Sonda: Lineare Multifrequenza 4-13 MHz

Età Paziente: F 32 anni

Commento all'esame: sindrome da impingement cubitale (fase irritativa) in boxer e giocatrice di pallavolo; si nota l’ipertrofia del capo ulnare del FUC rispetto al contro lato..

Conclusioni: sindrome da impingement cubitale (impingement syndrome cubital).

Realizzazione: Dr. F. Pietro Tarini - Gubbio

Presentazione: Dr. Massimo Dolciotti - Ancona

Elaborazione digitale: Andrea Dini - Ancona

 

 

 


 

Data inserimento: 01/06/2015

Ecografia del: 01/06/2015

Strumento: Esaote MyLab Class C

Sonda: Lineare Multifrequenza 4-13 MHz

Età Paziente:

Commento all'esame: ispessimento del retinacolo inferiore degli estensori contiguo al tendine del tibiale anteriore in podista..

Conclusioni: ispessimento del retinacolo inferiore degli estensori contiguo al tendine del tibiale anteriore (thickening of the lower retinaculum extensor adjacent to the anterior tibial tendon).

Potete esprimere le vostre osservazioni e commenti sul BLOG.

Realizzazione: Dr. F. Pietro Tarini - Gubbio

Presentazione: Dr. Massimo Dolciotti - Ancona

Elaborazione digitale: Andrea Dini - Ancona

VISUALIZZA IL VIDEO

 

 


 

Data inserimento: 19/01/2015

Ecografia del: 15/01/2015

Strumento: Esaote MyLab Class C

Sonda: Lineare Multifrequenza 4-13 MHz

Età Paziente: F

Commento all'esame: giovane donna con borsite bicipito-femorale ad evoluzione fistoliforme, intraipodermica, distale per circa 5 cm.

Conclusioni: borsite bicipito-femorale (bursitis bicipito-femoral).

Potete esprimere le vostre osservazioni e commenti sul BLOG.

Realizzazione: Dr. F. Pietro Tarini - Gubbio

Presentazione: Dr. Massimo Dolciotti - Ancona

Elaborazione digitale: Andrea Dini - Ancona

VISUALIZZA IL VIDEO

 

 


 

 

Data inserimento: 23/12/2014

Ecografia del: 16/12/2014

Strumento: Esaote MyLab 50 Gold - Responsabile Linea Cardio Esaote Regione Marche Dr. Franco Fabi

Sonda: Lineare Multifrequenza 12-18 MHz

Età Paziente: F 68 anni

Motivazione dell'esame: un mese e mezzo prima si è procurata una ferita da taglio al terzo dito della mano destra in sede estensoria con incapacità ad estendere il dito medio.

Commento all'esame: l'indagine ecografica con sonda lineare multifrequenza da 12-18 Mhz a livello del tendine estensore del terzo dito della mano destra documenta area ipoecogena delle dimensioni di 5,2 mm per uno spessore di 2,3 mm superiormente all'articolazione metacarpo-falangea (MF) da ricondurre a lesione completa in zona 5 della classificazione chirurgica delle lesioni dei tendini estensori della mano. Si allegano 8 (otto) immagini. Indispensabile il follow up, la valutazione ortopedica e clinica del medico curante.

Conclusioni: lesione del tendine estensore del terzo dito della mano destra (lesion of the extensor tendon of the third finger of the right hand).

Potete esprimere le vostre osservazioni e commenti sul BLOG.

Presentazione: Dr. Massimo Dolciotti - Ancona

Elaborazione digitale: Andrea Dini - Ancona

 

 

 


 

Data inserimento: 21/11/2014

Ecografia del: 19/11/2014

Strumento: Esaote MyLab 50 Gold - Responsabile Linea Cardio Esaote Regione Marche Dr. Franco Fabi

Sonda: Lineare Multifrequenza 7,5-12 MHz

Età Paziente: M 34 anni

Motivazione dell'esame: da tre settimane dolore alla regione posteriore della coscia destra.

Commento all'esame: l'indagine ecografica con sonda lineare multifrequenza da 7,5-12 MHz a livello del muscolo bicipite femorale destro nel capo lungo in sede distale si documenta la disomogeneità, con ipoecogeneicità, che misurata per asse lungo risulta delle dimensioni di 48 x 14 mm e misurata per asse corto è risultata di 40 x 14 mm, da ricondurre a strappo muscolare di secondo grado. Normale il capo breve. Normale il muscolo semimembranoso e semitendinoso destro. Non raccolta sieroematica intramuscolare né intermuscolare. Si allegano 6 (sei) immagini. Indispensabile il follow up, la valutazione ortopedica-fisiatrica del fisioterapista e clinica del medico curante del medico curante.

Conclusioni: lesione di secondo grado del muscolo capolungo del bicipite femorale destro (lesion of the second degree of right biceps femoris muscle).

Potete esprimere le vostre osservazioni e commenti sul BLOG.

In collaborazione: Dr. Marco Griffoni - Ancona

Presentazione: Dr. Massimo Dolciotti - Ancona

Elaborazione digitale: Andrea Dini - Ancona

VISUALIZZA IL VIDEO

 

 


 

Data inserimento: 14/11/2014

Ecografia del: 13/11/2014

Strumento: Esaote MyLab Class C

Sonda: Lineare Multifrequenza 4-13 MHz

Età Paziente:

Commento all'esame: giovane con reperto occasionale (esame effettuato per trauma da caduta alla coscia) di lacuna ossea di circa 4.5 x 8 x 19 mm (DAP x DT x DL = 0.34 ml ca), al III° distale post.-mediale del femore dx, con interruzione della corticale di circa 2.4 x 3.5 mm (DT x DL) d’incerta interpretazione: fibroma osseo? Esiti post-traumatici? Altro?
In corso di follow-up .

Conclusioni: lesione ossea (bone lesion).

Potete esprimere le vostre osservazioni e commenti sul BLOG.

Realizzazione: Dr. F. Pietro Tarini - Gubbio

Presentazione: Dr. Massimo Dolciotti - Ancona

Elaborazione digitale: Andrea Dini - Ancona

VISUALIZZA IL VIDEO

 

 


 

 

Data inserimento: 13/10/2014

Ecografia del: 10/10/2014

Strumento: Esaote MyLab Class C

Sonda: Lineare Multifrequenza 4-13 MHz

Età Paziente: M 76 anni

Commento all'esame: maschio con improvvisa disestesia lungo l'alluce durante una partita di calcetto: lacerazione parziale miotendinea del flessore lungo dell'alluce.

Conclusioni: lacerazione parziale miotendinea del flessore lungo dell'alluce (partial tear of the flexor hallucis longus myotendinous).

Potete esprimere le vostre osservazioni e commenti sul BLOG.

Realizzazione: Dr. F. Pietro Tarini - Gubbio

Presentazione: Dr. Massimo Dolciotti - Ancona

Elaborazione digitale: Andrea Dini - Ancona

VISUALIZZA IL VIDEO

 

 


 

Data inserimento: 27/08/2014

Ecografia del: 11/08/2014

Strumento: Esaote MyLab Class C

Sonda: Lineare Multifrequenza 6-18 MHz

Età Paziente:

Commento all'esame: quadro di epicondilite cronica con iperemia tendinosica, piccola esostosi e lacerazione parziale delle fibre profonde (ERBC) del tendine comune; concomita STC.

Conclusioni: epicondilite cronica (chronic epicondylitis).

Potete esprimere le vostre osservazioni e commenti sul BLOG.

Realizzazione: Dr. F. Pietro Tarini - Gubbio

Presentazione: Dr. Massimo Dolciotti - Ancona

Elaborazione digitale: Andrea Dini - Ancona

VISUALIZZA IL VIDEO

 


 

 

Data inserimento: 20/08/2014

Ecografia del: 11/08/2014

Strumento: Esaote MyLab Class C

Sonda: Lineare Multifrequenza 4-13 MHz

Età Paziente: F 50 anni

Commento all'esame: donna, con intensa attività fisica (macellaia), che da alcuni anni presenta anomala anteposizione delle spalle con deficit all’elevazione delle stesse: fibrosi ed atrofia di entrambi i m. cucullari.

Conclusioni: fibrosi ed atrofia di entrambi i muscoli cucullari (fibrosis and atrophy cucullaris muscle).

Potete esprimere le vostre osservazioni e commenti sul BLOG.

Realizzazione: Dr. F. Pietro Tarini - Gubbio

Presentazione: Dr. Massimo Dolciotti - Ancona

Elaborazione digitale: Andrea Dini - Ancona

VISUALIZZA IL VIDEO

 


 

Data inserimento: 24/03/2014

Ecografia del: 21/03/2014

Strumento: Esaote MyLab Class C

Sonda: Lineare Multifrequenza 6-18 MHz 

Età Paziente: M 

Commento all'esame: grave tendinosi e rottura sub-totale dell’entesi distale al navicolare del tibiale posteriore in pt maschio adulto maratoneta; concomita peritendinite ed iperplasia sinoviale.

Conclusioni: rottura sub-totale del tendine tibiale posteriore sinistro all'inserzione e tendinosi (breaking subtotal posterior tibial tendon insertion left and tendinosis).

Potete esprimere le vostre osservazioni e commenti sul BLOG.

Realizzazione: Dr. F. Pietro Tarini - Gubbio

Presentazione: Dr. Massimo Dolciotti - Ancona

Elaborazione digitale: Andrea Dini - Ancona

 

VISUALIZZA IL VIDEO  

 

 


 

 

Data inserimento: 12/03/2014

Ecografia del: 11/03/2014

Strumento: Esaote MyLab Class C

Sonda: Lineare Multifrequenza 6-18 MHz 

Età Paziente: F  

Commento all'esame: algie alla regione mediale della caviglia in giovane donna con esiti distrattivi del leg. tibio-calcaneare.

Conclusioni: lesione legamento tibio-calcaneare (tibio-calcaneal ligament injury).

Potete esprimere le vostre osservazioni e commenti sul BLOG.

Realizzazione: Dr. F. Pietro Tarini - Gubbio

Presentazione: Dr. Massimo Dolciotti - Ancona

Elaborazione digitale: Andrea Dini - Ancona

 

VISUALIZZA IL VIDEO  

 

 


 

 

 

Data inserimento: 31/01/2014

Ecografia del: 29/01/2014

Strumento: Esaote MyLab Class C

Sonda: Lineare Multifrequenza 4-13 MHz 

Età Paziente: M 38 anni

Commento all'esame: 38enne con intensissimo dolore al gemello mediale da costringerlo all’uso delle stampelle; il muscolo appare marcatamente edematoso ed ingrandito: sindrome compartimentale da intenso esercizio fisico con rabdomiolisi.

Conclusioni: sindrome compartimentale con rabdomiolisi del gemello mediale sinistro.

Potete esprimere le vostre osservazioni e commenti sul BLOG.

Realizzazione: Dr. F. Pietro Tarini - Gubbio

Presentazione: Dr. Massimo Dolciotti - Ancona

Elaborazione digitale: Andrea Dini - Ancona

 

VISUALIZZA IL VIDEO 

 


 

 

Data inserimento: 13/01/2014

Ecografia del: 09/01/2014

Strumento: Esaote MyLab Class C

Sonda: Lineare Multifrequenza 6-18 MHz 

Età Paziente: F 46 anni

Commento all'esame: formazione cistica semplice, adiacente al tubercolo del V° metatarso, di verosimile origine dal paratenonio del peroneo breve.

Conclusioni: cisti tendinea.

Potete esprimere le vostre osservazioni e commenti sul BLOG.

Realizzazione: Dr. F. Pietro Tarini - Gubbio

Presentazione: Dr. Massimo Dolciotti - Ancona

Elaborazione digitale: Andrea Dini - Ancona

 

VISUALIZZA IL VIDEO 

 

 


 

 

Data inserimento: 13/12/2013

Ecografia del: 11/12/2013

Strumento: Esaote MyLab Class C

Sonda: Lineare Multifrequenza 6-18 MHz

Età Paziente: 

Commento all'esame: 

Anamnesi: tumefazione sulla superficie volare in corrispondenza della M-F del V° dito della mano dx. Motivo dell’esame: studio del reperto clinico.

Si evidenzia: in sede di reperto clinico immagine di formazione cistica semplice di circa 1.2 x 1.8 x 1.9 mm (DAP x DT x DL) in connessione con il legamento anulare (puleggia A1); i tendini flessori sottostanti non appaiono compressi o alterati mostrando un normale scorrimento attivo e passivo.

Conclusioni: cisti di puleggia.

Potete esprimere le vostre osservazioni e commenti sul BLOG.

Realizzazione: Dr. F. Pietro Tarini - Gubbio

Presentazione: Dr. Massimo Dolciotti - Ancona

Elaborazione digitale: Andrea Dini - Ancona

 

VISUALIZZA IL VIDEO 

 

 


 

Data inserimento: 13/12/2013

Ecografia del: 09/12/2013

Strumento: Esaote MyLab Class C

Sonda: Lineare Multifrequenza 6-18 MHz

Età Paziente: 

Commento all'esame: giovane con rottura parziale del leg. collat. laterale del ginocchio.

Conclusioni: rottura parziale del legamento collaterale del ginocchio sinistro.

Potete esprimere le vostre osservazioni e commenti sul BLOG.

Realizzazione: Dr. F. Pietro Tarini - Gubbio

Presentazione: Dr. Massimo Dolciotti - Ancona

Elaborazione digitale: Andrea Dini - Ancona

 

VISUALIZZA IL VIDEO 

 

 


 

 

Data inserimento: 13/12/2013

Ecografia del: 22/11/2013

Strumento: mindray 

Sonda: Lineare Multifrequenza 

Età Paziente:  M 65 anni

Commento all'esame: sepsi secondaria ad infezione protesica in trattamento continuativo con antibiotico da un anno. Le immagini documentano formazione anecogena in sede tibiale destra da ricondurre ad ascesso. Irregolarità del profilo osseo, da ricondurre a fistola tibiale per osteomielite .

Conclusioni: ascesso e fistola tibiale per osteomielite, secondaria sepsi protesica . 

Potete esprimere le vostre osservazioni e commenti sul BLOG.

Realizzazione: Dr. Sandro Tesei - Ancona

Presentazione: Dr. Massimo Dolciotti - Ancona

Elaborazione digitale: Andrea Dini - Ancona

 

 

 


 

Data inserimento: 29/11/2013

Ecografia del: 27/11/2013

Strumento: Esaote MyLab Class C

Sonda: Lineare Multifrequenza 6-18 MHz

Età Paziente: M 16 anni

Motivazione dell'esame: tumefazione dorsale al polso sn da circa 3 anni in maschio di 16 anni.

Commento all'esame: si evidenzia in sede di reperto clinico immagine di lesione a profili lisci, margini netti, non vascolarizzata, elastograficamente deformabile, di circa 6 x 13 x 15 mm (DAP x DT x DL = 0.6 ml ca) che raggiunge una profondità massima di circa 9.5 mm e contenente una calcificazione di circa 2.1 x 7.6 mm (DAP x DT),  indovata tra il piano osseo del semilunare/scafoide e sottostante al flessore radiale breve del carpo e parte dei tendini del IV° canale in un piano distale rispetto all’intersezione dell’ELP; indenne appare il legamento scafo-lunato: il reperto è suggestivo per esiti fibro-calcifici di antico ematoma. Si consiglia asportazione del reperto con es. istologico in caso di incremento volumetrico della lesione o insorgenza sintomatologica.

Conclusioni: esiti fibro-calcifici di antico ematoma del polso.

Potete esprimere le vostre osservazioni e commenti sul BLOG.

Realizzazione: Dr. F. Pietro Tarini - Gubbio

Presentazione: Dr. Massimo Dolciotti - Ancona

Elaborazione digitale: Andrea Dini - Ancona

 


 

 

Data inserimento: 29/11/2013

Ecografia del: 27/11/2013

Strumento: Esaote MyLab Class C

Sonda: Lineare Multifrequenza 4-13 MHz

Età Paziente: F 80 anni

Commento all'esame: 

·        donna 80enne con recente caduta in posizione seduta:  ematoma/sieroma di circa 21 x 58  x 61 mm con alcuni tralci fibrosi (DAP x DT x DL = 39 ml ca) per rottura di circa il 50% del grande gluteo sn;

·        verosimile sieroma di circa 10 x 34 x 21 mm (DAP x DT x DL = 3.7 ml ca) alla regione inferiore del grande gluteo dx con presenza di limitate fibre lacerate viciniori ai bordi della raccolta;

·        rottura di circa i 2/3 della entesi prossimale del semimembranoso dx con raccolta fluida consensuale di circa 14 x 9 x 11 mm (DAP x DT x DL = 0.7 ml ca).

Conclusioni: lesione del grande gluteo sinistro e del semimembranoso destro.

Potete esprimere le vostre osservazioni e commenti sul BLOG.

Realizzazione: Dr. F. Pietro Tarini - Gubbio

Presentazione: Dr. Massimo Dolciotti - Ancona

Elaborazione digitale: Andrea Dini - Ancona

 

VISUALIZZA IL VIDEO 

 


 

Data inserimento: 29/11/2013

Ecografia del: 25/11/2013

Strumento: Esaote MyLab Class C

Sonda: Lineare Multifrequenza 4-13 MHz

Età Paziente: F 81 anni

Commento all'esame: involuzione fibro-adiposa del tricipite surale sn da denerzione in pt con pregresse sciatalgie da ernia discale.

Conclusioni: involuzione fibro-adiposa.

Potete esprimere le vostre osservazioni e commenti sul BLOG.

Realizzazione: Dr. F. Pietro Tarini - Gubbio

Presentazione: Dr. Massimo Dolciotti - Ancona

Elaborazione digitale: Andrea Dini - Ancona

 

VISUALIZZA IL VIDEO 

 


 

Data inserimento: 04/11/2013

Ecografia del: 30/10/2013

Strumento: Esaote MyLab Class C

Sonda: Lineare Multifrequenza 4-13 MHz

Età Paziente: M 31 anni

Commento all'esame: calciatore 31enne con recente trauma indiretto da iperflessione laterale contrastata del tronco: lesione lacerativa interessante l’inserzione del m. obliquo interno e del m. trasverso a livello del bordo inferiore della X° costa; la lesione interessa entrambi i muscoli a tutto spessore, per un tratto inserzionale cranio-caudale di circa 12 mm, con ematoma ancillare di circa 9 x 27 x 12 mm (DAP x DT x DL = 1.5 ml ca).

Conclusioni: trauma indiretto.

Potete esprimere le vostre osservazioni e commenti sul BLOG.

Realizzazione: Dr. F. Pietro Tarini - Gubbio

Presentazione: Dr. Massimo Dolciotti - Ancona

Elaborazione digitale: Andrea Dini - Ancona

 

VISUALIZZA IL VIDEO 

 


 

Data inserimento: 04/11/2013

Ecografia del: 30/10/2013

Strumento: Esaote MyLab Class C

Sonda: Lineare Multifrequenza 4-13 MHz

Età Paziente: M 29 anni

Commento all'esame: calciatore 29enne dopo trauma contusivo al fianco dx: lesione lacerativa del m. obliquo interno di circa 13 x 23 x 21 mm (DAP x DT x DL = 3.1 ml ca).

Conclusioni: trauma contusivo.

Potete esprimere le vostre osservazioni e commenti sul BLOG.

Realizzazione: Dr. F. Pietro Tarini - Gubbio

Presentazione: Dr. Massimo Dolciotti - Ancona

Elaborazione digitale: Andrea Dini - Ancona

 

VISUALIZZA IL VIDEO 

 


 

 

Data inserimento: 07/10/2013

Ecografia del: 04/10/2013

Strumento: Esaote MyLab Class C

Sonda: Lineare Multifrequenza 6-18 MHz

Età Paziente: F 60 anni

Commento all'esame: donna 60enne in sovrappeso con recente intensa ed inappropriata attività sportiva: tenosinovite del tibiale posteriore.

Conclusioni: tenosinovite del tibiale posteriore

Potete esprimere le vostre osservazioni e commenti sul BLOG.

Realizzazione: Dr. F. Pietro Tarini - Gubbio

Presentazione: Dr. Massimo Dolciotti - Ancona

Elaborazione digitale: Andrea Dini - Ancona

 

VISUALIZZA IL VIDEO 

 


 

 

Data inserimento: 13/09/2013

Ecografia del: 10/09/2013

Strumento: Esaote MyLab Class C

Sonda: Lineare Multifrequenza 4-13 MHz

Età Paziente: M 68 anni

Commento all'esame: maschio 68enne con tumefazione improvvisa all’anca dx, dopo sforzo, con sospetto clinico di complicanza da pregressa protesizzazione dell’anca medesima: rottura parcellare del tensore della fascia lata a circa 3 cm dalla SIAS.

Conclusioni: rottura parcellare del tensore della fascia lata.

Potete esprimere le vostre osservazioni e commenti sul BLOG.

Realizzazione: Dr. F. Pietro Tarini - Gubbio

Presentazione: Dr. Massimo Dolciotti - Ancona

Elaborazione digitale: Andrea Dini - Ancona

 

VISUALIZZA IL VIDEO 

 


 

 

Data inserimento: 19/08/2013

Ecografia del: 19/08/2013

Strumento: Esaote MyLab Class C

Sonda: Lineare Multifrequenza 6-18 MHz

Età Paziente: 

Commento all'esame: giovane con quadro clinico di “epicondilite”: tendine degli estensori con diminuità ecogenicità, microlesione ed accentuata vascolarizzazione rispetto al controlato.

Conclusioni: epicondilite destra.

Potete esprimere le vostre osservazioni e commenti sul BLOG.

Realizzazione: Dr. F. Pietro Tarini - Gubbio

Presentazione: Dr. Massimo Dolciotti - Ancona

Elaborazione digitale: Andrea Dini - Ancona

 


 

Data inserimento: 19/08/2013

Ecografia del: 14/08/2013

Strumento: Esaote MyLab Class C

Sonda: Lineare Multifrequenza 4-13 MHz

Età Paziente: M 

Commento all'esame: dopo avere sottoposto ad un estenuante interrogatorio per estorcere al povero paziente (veramente paziente!) un trauma, anche minimo, che giustificasse una vasta ecchimosi lombare con decorso dermatomerico (quasi a delineare uno zooster emorragico!) esploro l’area convinto di trovare esclusivamente un sottocute infiltrato (ad esser precisi una piccola area ecchimotica era presente anche all’interlinea glutea prossimale): lacerazione del muscolo grande dorsale, al livello circa L3 sn, di circa 11 x 24 x 29 mm (DAP x DT x DL = 4 ml ca) con profondità max di 33 mm ca.

Conclusioni: lacerazione del muscolo grande dorsale.

Potete esprimere le vostre osservazioni e commenti sul BLOG.

Realizzazione: Dr. F. Pietro Tarini - Gubbio

Presentazione: Dr. Massimo Dolciotti - Ancona

Elaborazione digitale: Andrea Dini - Ancona

 

VISUALIZZA IL VIDEO 

 


 

 

 

Data inserimento: 26/07/2013

Ecografia del: 24/07/2013

Strumento: Esaote MyLab Class C

Sonda: Lineare Multifrequenza 6-18 MHz

Età Paziente: 

Commento all'esame: bratta ossea, all’inserzione prossimale del leg. peroneo-calcaneare, dopo trauma distorsivo della caviglia.

Conclusioni: bratta ossea all’inserzione prossimale del leg. peroneo-calcaneare.

Potete esprimere le vostre osservazioni e commenti sul BLOG.

Realizzazione: Dr. F. Pietro Tarini - Gubbio

Presentazione: Dr. Massimo Dolciotti - Ancona

Elaborazione digitale: Andrea Dini - Ancona

 

VISUALIZZA IL VIDEO 

 


 

 

Data inserimento: 26/07/2013

Ecografia del: 23/07/2013

Strumento: Esaote MyLab Class C

Sonda: Lineare Multifrequenza 6-18 MHz

Età Paziente: M 13 anni 

Commento all'esame: tredicenne accanito video-giocatore e mouse-dipendente con forti algie al polso dx, particolarmente nei movimenti di dorsiflessione, da alcuni mesi ed in procinto di essere operato per……cisti del polso….: osteofitosi ed erosionei del capitato e della base del III° metacarpo, verosimilmente, da overuse.

Conclusioni: artrosi del polso.

Potete esprimere le vostre osservazioni e commenti sul BLOG.

Realizzazione: Dr. F. Pietro Tarini - Gubbio

Presentazione: Dr. Massimo Dolciotti - Ancona

Elaborazione digitale: Andrea Dini - Ancona

 

 


 

 

Data inserimento: 31/05/2013

Ecografia del: 17/04/2013 

Strumento: Esaote MyLab 50 Gold - Responsabile Linea Cardio Esaote Regione Marche Dr. Franco Fabi

Sonda: Lineare Multifrequenza 7,5-12 Mhz

Età Paziente: M 30 anni

Motivazione dell'esame: da quattro giorni, dolore al gluteo sinistro.

Commento all'esame: le immagini ed il video documentano la disomogeneità in sede inserzionale del grande gluteo sinistro, con raccolta sieroematica, da ricondurre a lesione muscolare di secondo grado.

Conclusioni: lesione di secondo grado al grande gluteo sinistro.

Potete esprimere le vostre osservazioni e commenti sul BLOG.

In collaborazione: Dr. Stefano Stronati - Ancona

Presentazione: Dr. Massimo Dolciotti - Ancona

Elaborazione digitale: Andrea Dini - Ancona

 

VISUALIZZA IL VIDEO 

 

 


 

Data inserimento: 16/11/2012

Ecografia del: 15/11/2012

Strumento: Esaote MyLab 50 Gold

Sonda: Lineare Multifrequenza 12-18 MHz

Età Paziente: M 26 anni

Commento all'esame: 26enne manuale con tendinite degli estensori del I° canale per sindrome dell’intersezione con i tendini del II° canale all’avambraccio dx.

Conclusioni: tendinite estensori avambraccio destro per sindrome dell'intersezione.

Potete esprimere le vostre osservazioni e commenti sul BLOG.

Realizzazione: Dr. F. Pietro Tarini - Gubbio

Presentazione: Dr. Massimo Dolciotti - Ancona

Elaborazione digitale: Andrea Dini - Ancona

 

VISUALIZZA IL VIDEO  

 


 

Data inserimento: 19/10/2012

Ecografia del: 16/10/2012

Strumento: Esaote MyLab 50 Gold

Sonda: Lineare Multifrequenza 12-18 MHz

Età Paziente: M 

Commento all'esame: Gonalgia da oltre 1 mese dopo partita di calcetto; presenta tumefazione dura in sede rotulea: avulsione di bratta rotulea.

Conclusioni: bratta ossea.

Potete esprimere le vostre osservazioni e commenti sul BLOG.

Realizzazione: Dr. F. Pietro Tarini - Gubbio

Presentazione: Dr. Massimo Dolciotti - Ancona

Elaborazione digitale: Andrea Dini - Ancona

 

VISUALIZZA IL VIDEO  

 


 

Data inserimento: 28/09/2012

Ecografia del: 24/09/2012

Strumento: Esaote MyLab 50 Gold

Sonda: Lineare Multifrequenza 12-18 MHz

Età Paziente: M 

Commento all'esame: in sede di reperto clinico ematoma organizzato con alcune calcificazioni (quest’ultime con diametro max di circa 3-4 mm) che separa la componente superficiale del LCM dalla porzione profonda craniale: fasci femoro-meniscali (quest’ultimi appaiono in gran parte interrotti al versante posteriore).

Conclusioni: lesione di II° del LCM con ematoma fibrotizzato contenente alcuni foci calcifici.

Potete esprimere le vostre osservazioni e commenti sul BLOG.

Realizzazione: Dr. F. Pietro Tarini - Gubbio

Presentazione: Dr. Massimo Dolciotti - Ancona

Elaborazione digitale: Andrea Dini - Ancona

 

VISUALIZZA IL VIDEO  

 


 

 

Data inserimento: 31/08/2012

Ecografia del: 29/08/2012 

Strumento: Esaote MyLab 50 Gold - Responsabile Linea Cardio Esaote Regione Marche Dr. Franco Fabi

Sonda: Lineare Multifrequenza 7,5-12 Mhz

Età Paziente: M 24 anni

Motivazione dell'esame: dolore da 5 giorni al fianco destro, insorto dopo scontro durante la partita di calcio.

Commento all'esame: le immagini ed il video documentano lesione di secondo grado in sede preinserzionale ed inserzionale del muscolo obliquo interno di destra.

Conclusioni: lesione di secondo grado del muscolo obliquo interno di destra.

Potete esprimere le vostre osservazioni e commenti sul BLOG.

In collaborazione: Dr. Stefano Stronati - Ancona

Presentazione: Dr. Massimo Dolciotti - Ancona

Elaborazione digitale: Andrea Dini - Ancona

 

VISUALIZZA IL VIDEO  

 

 


 

 

Data inserimento: 20/08/2012

Ecografia del: 14/08/2012

Strumento: Esaote MyLab 50 Gold

Sonda: Lineare Multifrequenza 7,5-12 MHz

Età Paziente: M 26 anni 

Commento all'esame: 26enne calciatore con pubalgia da entesopatia calcifica del I° adduttore.

Conclusioni: pubalgia da entesopatia calcifica del I° adduttore.

Potete esprimere le vostre osservazioni e commenti sul BLOG.

Realizzazione: Dr. F. Pietro Tarini - Gubbio

Presentazione: Dr. Massimo Dolciotti - Ancona

Elaborazione digitale: Andrea Dini - Ancona

 


 

 

Data inserimento: 08/06/2012

Ecografia del: 05/06/2012

Strumento: Esaote MyLab 50 Gold - Responsabile Linea Cardio Esaote Regione Marche Dr. Franco Fabi

Sonda: Lineare Multifrequenza 7,5-12 MHz

Commento all'esame: tenosinovite del flessore radiale del carpo e nervo mediano bifido.

Conclusioni: tenosinovite del flessore radiale del carpo e nervo mediano bifido. 

Potete esprimere le vostre osservazioni e commenti sul BLOG.

Realizzazione: Dr. F. Pietro Tarini - Gubbio

Presentazione: Dr. Massimo Dolciotti - Ancona

Elaborazione digitale: Andrea Dini - Ancona

 

VISUALIZZA IL VIDEO

 


 

 

Data inserimento: 20/04/2012

Ecografia del: 18/04/2012

Strumento: Esaote MyLab 50 Gold - Responsabile Linea Cardio Esaote Regione Marche Dr. Franco Fabi

Sonda: Lineare Multifrequenza 7,5-12 MHz

Età Paziente:  M 

Commento all'esame: lesione bicipitale in sportivo che lamenta, da circa un mese, intenso dolore lungo tutto l’arto inferiore: la lesione appare contigua allo sciatico.

Conclusioni: lesione bicipite femorale. 

Potete esprimere le vostre osservazioni e commenti sul BLOG.

Realizzazione: Dr. F. Pietro Tarini - Gubbio

Presentazione: Dr. Massimo Dolciotti - Ancona

Elaborazione digitale: Andrea Dini - Ancona

 

VISUALIZZA IL VIDEO  

 


 

Data inserimento: 27/02/2012

Ecografia del: 17/02/2012

Strumento: Esaote MyLab 50 Gold - Responsabile Linea Cardio Esaote Regione Marche Dr. Franco Fabi

Sonda: Lineare Multifrequenza 12-18 MHz

Età Paziente:  F 48 anni

Motivazione dell'esame: ferita da taglio al secondo dito della mano destra con lesione tendinea, occorsa 30 giorni prima.

Commento all'esame: le immagini ed il video documentano l'ispessimento e la disomogeneità del tendine estensore dell'indice della mano destra, con evidenza di immagini iperecogene in prossimità del tendine, da ricondurre a punti di sutura. Pressoché regolare l'estensione tendinea.

Conclusioni: lesione tendinea parziale in via di cicatrizzazione dopo sutura. 

Potete esprimere le vostre osservazioni e commenti sul BLOG.

Presentazione: Dr. Massimo Dolciotti - Ancona

Elaborazione digitale: Andrea Dini - Ancona

 

VISUALIZZA IL VIDEO  

 

 


 

 

Data inserimento: 20/01/2012

Ecografia del: 13/01/2012

Strumento: Esaote MyLab 50 Gold

Sonda: Lineare Multifrequenza 7,5-12 Mhz 

Età Paziente:  M 

Commento all'esame: Dopo 3 interventi per rottura dei tendini flessori del II° dito mano dx, di robusto uomo maturo,…..l’ennesima …....

Conclusioni: rottura FSD e FPD.

Potete esprimere le vostre osservazioni e commenti sul BLOG.

Realizzazione: Dr. F. Pietro Tarini - Gubbio

Presentazione: Dr. Massimo Dolciotti - Ancona

Elaborazione digitale: Andrea Dini - Ancona

 

VISUALIZZA IL VIDEO

 


 

Data inserimento: 30/12/2011

Ecografia del: 16/12/2011

Strumento: Esaote MyLab 50 Gold - Responsabile Linea Cardio Esaote Regione Marche Dr. Franco Fabi

Sonda: Lineare Multifrequenza 12-18 MHz

Età Paziente: M 27 anni

Motivazione dell'esame: dieci giorni fa incidente sul lavoro mentre scaricava dei pacchi pesanti.

Commento all'esame: l'indagine ecografica con sonda lineare da 12-18 mhz a livello distale del tricipite del braccio destro documenta area ipoecogena con raccolta sieroematica da ricondurre a lesione miotendinea di secondo-terzo grado del muscolo tricipite destro. Si allegano 33 (trentatre) immagini. Indispensabile il follow up e la valutazione ortopedica. 

Conclusioni: lesione miotendinea del tricipite distale destro, di secondo-terzo grado.

Potete esprimere le vostre osservazioni e commenti sul BLOG.

Presentazione: Dr. Massimo Dolciotti - Ancona

Elaborazione digitale: Andrea Dini - Ancona

 

VISUALIZZA IL VIDEO

 

 


 

Data inserimento: 02/11/2011

Ecografia del: 12/10/2011

Strumento: Esaote MyLab 50 Gold - Responsabile Linea Cardio Esaote Regione Marche Dr. Franco Fabi

Sonda: Lineare Multifrequenza 5-10 MHz

Età Paziente: M 60 anni

Motivazione dell'esame: caduta dalla scala 45 gg. fa, incompleta distensione del gomito sinistro.

Commento all'esame: le immagini ed il video non documentano alterazioni a livello del comparto laterale del gomito sinistro, a livello inserzionale sull'epicondilo. Normale il comparto mediale e posteriore del gomito. Normale l'inserzione distale del tendine bicipite sinistro. Si evidenzia versamento articolare di discreta entità.

Conclusioni: versamento articolare post-traumatico del gomito.

Potete esprimere le vostre osservazioni e commenti sul BLOG.

Presentazione: Dr. Massimo Dolciotti - Ancona

Elaborazione digitale: Andrea Dini - Ancona

 

VISUALIZZA IL VIDEO

 

 


 

Data inserimento: 13/06/2011

Ecografia del: 10/06/2011

Strumento: Esaote MyLab 50 Gold

Sonda: Lineare 7,5 Mhz 

Età Paziente: M 80 Anni

Commento all'esame: 80enne con improvviso dolore e sensazione di strappo al poplite dx: rottura di circa il 50% del tendine semimembranoso (3.2 mm vs 7.2 al controlato).

Conclusioni: distrazione del semimembranoso.

Potete esprimere le vostre osservazioni e commenti sul BLOG.

Realizzazione: Dr. F. Pietro Tarini - Gubbio

Presentazione: Dr. Massimo Dolciotti - Ancona

Elaborazione digitale: Andrea Dini - Ancona

 


 

Data inserimento: 20/05/2011

Ecografia del: 13/05/2011

Strumento: Esaote MyLab 50 Gold

Sonda: Lineare 7,5 Mhz 

Età Paziente:  M 18 Anni

Commento all'esame: maschio 18enne con borsite post-traumatica del corpo di Hoffa.

Potete esprimere le vostre osservazioni e commenti sul BLOG.

Realizzazione: Dr. F. Pietro Tarini - Gubbio

Presentazione: Dr. Massimo Dolciotti - Ancona

Elaborazione digitale: Andrea Dini - Ancona

 


 

Data inserimento: 06/04/2011

Ecografia del: 30/03/2011

Strumento: Esaote MyLab 50 Gold

Sonda: Lineare 7,5 Mhz 

Età Paziente:  M 29 Anni

Commento all'esame: Ginocchiata a giovane calciatore 20 giorni prima: ematoma al vasto laterale in avanzata fase di organizzazione ed in assenza di metaplasia ossicalcifica.

Potete esprimere le vostre osservazioni e commenti sul BLOG.

Realizzazione: Dr. F. Pietro Tarini - Gubbio

Presentazione: Dr. Massimo Dolciotti - Ancona

Elaborazione digitale: Andrea Dini - Ancona

 


 

 

Data inserimento: 30/03/2011

Ecografia del: 19/03/2011

Strumento: Esaote MyLab 50 Gold

Sonda: Lineare 7,5 Mhz 

Età Paziente:  F 68 anni 

Commento all'esame: reperto occasionale, durante es. eco-Doppler, di esito cicatriziale per pregressa disinserzione distale del gemello mediale.

Potete esprimere le vostre osservazioni e commenti sul BLOG.

Realizzazione: Dr. F. Pietro Tarini - Gubbio

Presentazione: Dr. Massimo Dolciotti - Ancona

Elaborazione digitale: Andrea Dini - Ancona

 

 


 

Data inserimento: 16/03/2011

Ecografia del: 11/03/2011

Strumento: Esaote MyLab 50 Gold

Sonda: Lineare 7,5 Mhz 

Età Paziente:  M 45 anni 

Commento all'esame: maschio 45enne con improvviso dolore, durante gara di boxe tailandese, nel territorio nel nervo posteriore della coscia dx per s. di Hamstrings (lesione parziale dell'inserzione prossimale del bicipite).

Potete esprimere le vostre osservazioni e commenti sul BLOG.

Realizzazione: Dr. F. Pietro Tarini - Gubbio

Presentazione: Dr. Massimo Dolciotti - Ancona

Elaborazione digitale: Andrea Dini - Ancona

 

VISUALIZZA IL VIDEO

 


 

Data inserimento: 02/03/2011

Ecografia del: 23/02/2011

Strumento: Esaote MyLab 50 Gold

Sonda: Lineare 7,5 Mhz 

Età Paziente:  F 18 anni

Commento all'esame: femmina 18enne con distrazione di II° del tendine retto femorale sn alla S.I.A.I. avvenuta durante un combattimento di karatè.

Potete esprimere le vostre osservazioni e commenti sul BLOG.

Realizzazione: Dr. F. Pietro Tarini - Gubbio

Presentazione: Dr. Massimo Dolciotti - Ancona

Elaborazione digitale: Andrea Dini - Ancona

 


 

Data inserimento: 02/02/2011

Ecografia del: 01/02/2011

Strumento: Esaote MyLab 50 Gold

Sonda: Lineare 7,5 Mhz 

Età Paziente:  M 37 anni

Commento all'esame: trauma, risalente a circa 2 mesi, al ginocchio dx con insorgenza di tumefazione indolente in giocatore dilettante di 37 anni: quadro di tendinosi quadricipitale.

Potete esprimere le vostre osservazioni e commenti sul BLOG.

Realizzazione: Dr. F. Pietro Tarini - Gubbio

Presentazione: Dr. Massimo Dolciotti - Ancona

Elaborazione digitale: Andrea Dini - Ancona

 

VISUALIZZA IL VIDEO

 


 

Data inserimento: 17/01/2011

Ecografia del: 13/01/2011

Strumento: Esaote MyLab 50 Gold

Sonda: Lineare 7,5 Mhz 

Età Paziente:  F 77 anni

Commento all'esame: femmina di 77 anni con tumefazione mediale alla tabacchiera anatomica dx:  falda fluida intra-tendinea di circa 6 x 12 x 38 mm (DAP x DT x DL), presumibile evoluzione di lesione sub-totale dell’estensore lungo del pollice (III° canale) che si estende distalmente al tubercolo di Lister (zona di maggior attrito e di minore irrorazione). Si consiglia consulenza ortopedica (eventuale trasposizione con tendine dell’estensore proprio dell’indice).

Potete esprimere le vostre osservazioni e commenti sul BLOG.

Realizzazione: Dr. F. Pietro Tarini - Gubbio

Presentazione: Dr. Massimo Dolciotti - Ancona

Elaborazione digitale: Andrea Dini - Ancona

 


 

Data inserimento: 26/11/2010

Ecografia del: 25/11/2010

Strumento: Esaote MyLab 50 Gold

Sonda: Lineare 7,5 Mhz 

Età Paziente:  M 65 anni

Commento all'esame: robusto ed energico boscaiolo di 65 anni con tumefazione sottorotulea simulante, apparentemente, una borsite sottopatellare: borsite anserina con estrinsecazione distale.

Potete esprimere le vostre osservazioni e commenti sul BLOG.

Realizzazione: Dr. F. Pietro Tarini - Gubbio

Presentazione: Dr. Massimo Dolciotti - Ancona

Elaborazione digitale: Andrea Dini - Ancona

 


 

Data inserimento: 20/07/2009

Ecografia del: 03/07/2009

Strumento: Toshiba 380A

Sonda: Lineare 7,5 Mhz

Età paziente: M 22 anni

Motivazione dell'esame: tumefazione dolente in regione anteriore della gamba sinistra, con incapacità alla normale flesso-estensione del piede e delle dita. L'edema della gamba è comparso dopo 48 ore dall'incidente automobilistico che risale a 12 gg. prima dell'esame.

IL MIO REFERTO 

In collaborazione: Dr. Aldo Tiberi - Ancona

Presentazione: Dr. Massimo Dolciotti - Ancona

Elaborazione digitale: Andrea Dini - Ancona

VISUALIZZA IL VIDEO 

 


 

Data inserimento: 01/07/2009

Ecografia del: 25/06/2009

Strumento: Toshiba 380A

Sonda: Lineare 7,5 Mhz

Età paziente: M 69 anni

Motivazione dell'esame: dolore e lieve tumefazione al primo raggio della mano destra da una settimana.

Commento all'esame: le immagini ed il video documentano l'ispessimento della guaina tendinea dell'abduttore lungo e l'estensore breve del pollice destro, da ricondurre al quadro di malattia di De Quervain

In collaborazione: Dr. Quintilio Tomassetti - Ancona

Presentazione: Dr. Massimo Dolciotti - Ancona

Elaborazione digitale: Andrea Dini - Ancona

VISUALIZZA IL VIDEO 

 


 

 

Data inserimento: 10/06/2009

Ecografia del: 29/05/2009

Strumento: Toshiba 380A

Sonda: Lineare

Età paziente: F 76 anni

Motivazione dell'esame: dolore al gluteo destro quando la paziente è seduta in certe posizioni ed a volte anche nella deambulazione, insorto da molti mesi. Alla palpazione infiltrato gluteo duro e dolente.

Commento all'esame: le immagini ed il video documentano al gluteo destro due formazioni iperecogene, con cono d'ombra posteriore, da ricondurre a calcificazioni intramuscolari del grande gluteo destro. 

Presentazione: Dr. Massimo Dolciotti - Ancona

Elaborazione digitale: Andrea Dini - Ancona

VISUALIZZA IL VIDEO 

 

 


 

 

Data inserimento: 05/06/2009

Ecografia del: 02/02/2009

Strumento: Toshiba 380A

Sonda: Lineare

Età paziente: M 35 anni

Motivazione dell'esame: tumefazione e dolore alla coscia destra post-traumatico, insorto bruscamente 15 gg. prima durante una partita di calcio.

Commento all'esame: le immagini ed il video documentano la lesione muscolare di II grado al bicipite femorale destro con raccolta sieroematica. 

Presentazione: Dr. Massimo Dolciotti - Ancona

Elaborazione digitale: Andrea Dini - Ancona

VISUALIZZA IL VIDEO 

 

 


 

Data inserimento: 05/01/2009

Ecografia del: 29/12/2008

Strumento: Toshiba 380A

Età paziente: F 38 anni

Si esegue l'indagine ecografica per tumefazione dolente alla regione superiore esterna del gluteo destro, comparsa da alcuni giorni ed a distanza di 2 settimane da iniezione intramuscolare di analgesico . Le immagini ed il video documentano una formazione ovalare, estesa dal tessuto sottocutaneo al muscolo, in profondità per 14 mm ed estesa per 30 mm, da ricondurre ad infiltrato muscolare. 

Presentazione: Dr. Massimo Dolciotti - Ancona

Elaborazione digitale: Andrea Dini - Ancona

VISUALIZZA IL VIDEO 

 

ù

 


 

 

Data inserimento: 10/11/2008

Ecografia del: 29/10/2008

Strumento: Sonosite

Età paziente: M 60 anni

Si esegue l'indagine ecografica per tumefazione e dolore in regione mediale della gamba destra. Le immagini ed il video documentano la lesione miotendinea del gemello mediale destro. 

In collaborazione: Dr. Daniele Lenti - Jesi (AN)

Presentazione: Dr. Massimo Dolciotti - Ancona

Elaborazione digitale: Andrea Dini - Ancona

VISUALIZZA IL VIDEO 

 

 


 

 

Data inserimento: 01/10/2008

Ecografie del: 10/09/2008

Strumento: Esaote MyLab 25

Età paziente: M 17 anni

Il paziente si sottopone ad ecografia per tumefazione scarsamente dolente in fossa iliaca destra, da esiti di incidente stradale con moto avvenuto due mesi prima. Le immagini ed il video documentano lesione muscolare di secondo/terzo grado di alcuni fasci muscolari del muscolo obliquo esterno, del muscolo obliquo interno e del muscolo trasverso.

In collaborazione: Dr. Daniele Lenti - Jesi (AN)

Presentazione: Dr. Massimo Dolciotti - Ancona

Elaborazione digitale: Andrea Dini - Ancona

VISUALIZZA IL VIDEO 

 

 


 

Data inserimento: 10/06/2008

Ecografia del: 26/03/2008

Strumento: Sonosite

Età paziente: M 61 anni

Si esegue l'indagine ecografica per dolore e tumefazione alla regione anteriore della coscia sinistra, insorta da ca. 3 mesi. Le immagini documentano una formazione ovalare, iperecogena, a margini netti, priva di vascolarizzazione interna, delle dimensioni di 3,5x1,4 cm, da ricondurre a lipoma intramuscolare.

In collaborazione: Dr. Pietro Vitali - Jesi (AN)

Presentazione: Dr. Massimo Dolciotti - Ancona

Elaborazione digitale: Andrea Dini - Ancona

 

 


 

Data inserimento: 14/05/2008

Ecografia del: 07/05/2008

Strumento: Sonosite

Età paziente: M 40 anni

Si esegue l'ecografia con sonda lineare da 7,5 Mhz per follow-up a distanza di 7 gg. dal precedente controllo. Il paziente è clinicamente migliorato, con riduzione del dolore e dell'edema alla gamba sinistra, con incapacità dalla posizione eretta a sollevarsi sulle punte dei piedi. Le immagini documentano la riduzione dell'edema e l'iniziale cicatrizzazione della giunzione miotendinea del muscolo soleo di sinistra.

In collaborazione: Dr. Daniele Lenti - Jesi (AN)

Presentazione: Dr. Massimo Dolciotti - Ancona

Elaborazione digitale: Andrea Dini - Ancona

 


 

Data inserimento: 07/05/2008

Ecografia del: 30/04/2008

Strumento: Sonosite

Età paziente: M 40 anni

Si esegue l'ecografia con sonda lineare da 7,5 Mhz per dolore e tumefazione alla gamba sinistra, insorto da 5 gg. ed improvvisamente durante una partita di pallavolo. Le immagini documentano la lesione pressoché completa del muscolo soleo di sinistra in sede miotendinea-distale.

In collaborazione: Dr. Daniele Lenti - Jesi (AN)

Presentazione: Dr. Massimo Dolciotti - Ancona

Elaborazione digitale: Andrea Dini - Ancona

 


Data inserimento: 18/10/2006

Data esame: 10/10/2006

Strumento: Toshiba 380A

Età paziente: M 35 anni

Lesione muscolare di II grado all'avambraccio destro.

Elaborazione digitale: Andrea Dini

VISUALIZZA IL VIDEO


 

 

 

 

Data inserimento: 28/09/2004

Data esame: 25/09/2004

Strumento: Toshiba 380A

Età paziente: F 35

Lesione muscolare al gluteo destro a seguito di iniezione intramuscolare con verosimile reazione fibrotica.

Elaborazione digitale: Andrea Dini


 

  

 

 

Data inserimento: 14/09/2004

Data esame: 06/09/2004

Strumento: Toshiba 380A

Età paziente: M 41

Lesione tendinea parziale del flessore del primo dito della mano sinistra.

Elaborazione digitale: Andrea Dini


 

  

Data inserimento: 29/06/2004

Data esame: 28/06/2004

Strumento: Sonosite

Età paziente: F 42

Cisti tendinea del polso sinistro.


 

 
HOME PAGE