HOME PAGE

 

 

Data inserimento: 26/01/2026

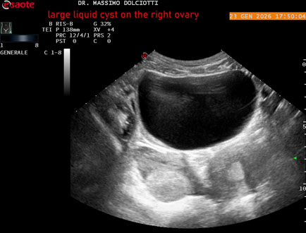
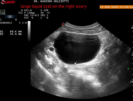
Ecografia del: 23/01/2025

Strumento: Esaote MyLab Eight

Sonda: Conevx Multifrequenza 1-8 MHz

Età Paziente: F 29 anni

Motivazione dell'esame: dolore al lato destro della pelvi in portarice di cisti liquida all'ovaio destro.

Commento all'esame: le immagini ed il video documentano, in sede pelvica, grande formazione anecogena, delle dimensioni di 110 x 60 mm, priva di vascolarizzazione, da ricondurre a grande cisti liquida dell'ovaio destro.

Conclusioni: grande cisti liquida all'ovaio destro (large fluid cyst on the right ovary).

In collaborazione: Dr.ssa Marica Manfredi - Ancona, Dr. Ilir Qose - Ancona

Presentazione: Dr. Massimo Dolciotti - Ancona

Elaborazione digitale: Andrea Dini - Ancona

VISUALIZZA IL VIDEO

 

 


 

 

Data inserimento: 26/01/2026

Ecografia del: 23/01/2025

Strumento: Esaote MyLab Eight

Sonda: Conevx Multifrequenza 1-8 MHz

Età Paziente: F 29 anni

Motivazione dell'esame: dolore al lato destro della pelvi in portarice di cisti liquida all'ovaio destro.

Commento all'esame: le immagini ed il video documentano, in sede pelvica, grande formazione anecogena, delle dimensioni di 110 x 60 mm, priva di vascolarizzazione, da ricondurre a grande cisti liquida dell'ovaio destro.

Conclusioni: grande cisti liquida all'ovaio destro (large fluid cyst on the right ovary).

In collaborazione: Dr.ssa Marica Manfredi - Ancona, Dr. Ilir Qose - Ancona

Presentazione: Dr. Massimo Dolciotti - Ancona

Elaborazione digitale: Andrea Dini - Ancona

VISUALIZZA IL VIDEO

 

 


 

 

Data inserimento: 11/09/2025

Ecografia del: 03/09/2025

Strumento: Esaote MyLab Eight

Sonda: Convex Multifrequenza 1-8 MHz

Età Paziente: F 28 anni

Motivazione dell'esame: recente colica renale destra.

Commento all'esame: le immagini ed il video documentano grande formazione anecogena in sede ovarica destra, delle dimensioni di 93x84 mm, da ricondurre a cisti ovarica liquida.

Conclusioni: grande cisti ovarica liquida destra (large right ovarian cyst).

Presentazione: Dr. Massimo Dolciotti - Ancona

Elaborazione digitale: Andrea Dini - Ancona

VISUALIZZA IL VIDEO

 

 

 


 

 

Data inserimento: 22/07/2025

Ecografia del: 16/06/2025

Strumento: Esaote MyLab Eight

Sonda: Convex Multifrequenza 1-8 MHz ed Endocavitaria Multifrequenza 3-9 MHz

Età Paziente: F 64 anni

Motivazione dell'esame: dolori addominali in paziente già sottoposta ad isterectomia

Commento all'esame: le immagini ed il video documentano all'ovaio sinistro formazione anecogena, delle dimensioni di 42,5 x 53,5 mm, senza segni di vascolarizzazione, da ricondurre a cisti liquida. Normale l'ovaio destro.

Conclusioni: cisti liquida all'ovaio sinistro (liquid cyst in the left ovary).

Presentazione: Dr. Massimo Dolciotti - Ancona

Elaborazione digitale: Andrea Dini - Ancona

VISUALIZZA IL VIDEO

 

 


 

 

Data inserimento: 10/01/2025

Ecografia del: 30/12/2024

Strumento: Esaote MyLab Eight

Sonda: Convex Multifrequenza 1-8 MHz

Età Paziente: F 51 anni

Motivazione dell'esame: dolorie e tumefazione al basso addome in soggetto sottoposto ad iosterectomia

Commento all'esame: le immagini ed il video documentano la vescica, a moderato riempimento, con evidenza di grande formazione anecogena in regione ovarica sinistra, delle dimensioni di 142 x 75 mm, da ricondurre, come prima ipotesi, a cistoadenoma sieroso dell'ovaio sinistro.

Conclusioni: cistoadenoma sieroso dell'ovaio sinistro (serous cystadenoma of the left ovary).

Presentazione: Dr. Massimo Dolciotti - Ancona

Elaborazione digitale: Andrea Dini - Ancona

VISUALIZZA IL VIDEO

 


 

 

Data inserimento: 26/07/2024

Ecografia del: 19/07/2024

Strumento: Esaote MyLab Eight

Sonda: Convex Multifrequenza 3-8 MHz

Età Paziente: F 43 anni

Motivazione dell'esame: tumefazione dura al basso addome da 2-3 giorni.

Commento all'esame: le immagini ed il video documentano una grande massa addominale, delle dimensioni di 247x200 mm, a profilo irregolare, con minimi segni di vascolarizzazione al suo interno, a struttura mista prevalentemente solida, con lacune anecogene e setti, da ricondurre, come prima ipotesi, a cistoadenocarcinoma mucinoso dell'ovaio destro.

Conclusioni: cistoadenocarcinoma mucinoso dell'ovaio destro (right ovary mucinous cystadenocarcinoma).

Presentazione: Dr. Massimo Dolciotti - Ancona

Elaborazione digitale: Andrea Dini - Ancona

VISUALIZZA IL VIDEO

 


 

 

Data inserimento: 15/11/2023

Ecografia del: 28/10/2023

Strumento: Esaote MyLab Eight

Sonda: Convex Multifrequenza 1-8 MHz ed Endocavitaria Multifrequenza 3-9 MHz

Età Paziente: F 62 anni

Motivazione dell'esame: dimagrimento di 5 kg in un anno, nicturia 2-3 volte.

Commento all'esame: le immagini ed il video documentano, in paziente già sottoposta ad isterectomia, ovaio destro ad ecostruttura disomogenea delle dimensioni di 30 x 18 mm. All’ovaio sinistro formazione anecogena delle dimensioni di 108 x 78 a contenuto fluido con presenza di gettone solido di 22 x 18 mm meritevole di approfondimento diagnostico e valutazione ginecologica.

Conclusioni: cisti ovarica sinistra con gettone solido (left ovarian cyst with solid component).

Presentazione: Dr. Massimo Dolciotti - Ancona

Elaborazione digitale: Andrea Dini - Ancona

VISUALIZZA IL VIDEO

 

 


 

 

Data inserimento: 06/09/2023

Ecografia del: 01/09/2023

Strumento: Esaote MyLab Eight

Sonda: Convex Multifrequenza 1-8 MHz e Lineare Multifrequenza 4-13 MHz

Età Paziente: F 20 anni

Motivazione dell'esame: improvvisa comparsa di dolore al basso addome.

Commento all'esame: le immagini ed il video documentano versamento sieroematico endoperitoneale, di moderata entità, che si estende in sede sottodiaframmatica epatica, tra le anse intestinali e nel Douglas, da ricondurre a corpo luteo emorragico dell'ovaio sinistro.

Conclusioni: corpo luteo emorragico dell'ovaio sinistro (hemorrhagic corpus luteum of the left ovary).

In collaborazione: Dr.ssa Khajeh Naierehalmolouk - Ancona

Presentazione: Dr. Massimo Dolciotti - Ancona

Elaborazione digitale: Andrea Dini - Ancona

VISUALIZZA IL VIDEO

 

 


 

 

Data inserimento: 26/05/2023

Ecografia del: 23/05/2023

Strumento: Esaote MyLab Eight

Sonda: Convex Multifrequenza 1-8 MHz

Età Paziente: F 52 anni

Motivazione dell'esame: da 7 giorni dolori e tumefazione al basso addome.

Commento all'esame: le immagini ed il video documentano l'utero retroverso, disomogeneo, con fibromi multipli, il maggiore di 47,8 x 42 cm. In sede ovarica destra presenza di immagine iperecogena, a margini definiti, senza segnali di vascolarizzazione, da ricondurre a cisti ovarica.

Conclusioni: cisti ovarica destra ed utero fibromatoso retroverso (right ovarian cyst and retroverted fibromatous uterus).

Presentazione: Dr. Massimo Dolciotti - Ancona

Elaborazione digitale: Andrea Dini - Ancona

VISUALIZZA IL VIDEO

 

 


 

 

Data inserimento: 03/07/2020

Ecografia del: 14/05/2020

Strumento: Samsung

Sonda: Convex

Età Paziente: F 57 anni

Commento all'esame: 2020 Maggio: fruttivendola 57enne dopo 4 anni da una gastrectomia presenta, in regione ovarica dx, una tumefazione solida sferica di circa 4 cm di diam. max (volume max di circa 15 ml) con marcata vascolarizzazione centrale con vasi anarchici arteriolari ad alta resistenza con nucleo centrale elastograficamente “rigido” d’incerta interpretazione: Krukenberg? Altro? 2020 istologia: Krukenberg.

Conclusioni: tumore di Krukenberg (Krukenberg cancer).

Realizzazione: Dr. F. Pietro Tarini - Gubbio (PG)

Presentazione: Dr. Massimo Dolciotti - Ancona

Elaborazione digitale: Andrea Dini - Ancona

VISUALIZZA IL VIDEO

 

 


 

Data inserimento: 03/07/2018

Ecografia del: 30/06/2018

Strumento: Esaote MyLab Twice

Sonda: Convex Multifrequenza 1-8 MHz

Età Paziente: F 33 anni

Motivazione dell'esame: dolore e gonfiore al basso addome in paziente sottoposta a FIVET 10 giorni prima.

Commento all'esame: le immagini ed il video documentano ovaie aumentate di volume, con numerosi follicoli. Presenza di moderata ascite, da ricondurre a Ovaric Hyper Stimulation Syndrome - OHSS di moderata entità.

Conclusioni: Ovaric Hyper Stimulation Syndrome - OHSS di moderata entità (moderate Ovaric Hyper Stimulation Syndrome - OHSS).

Presentazione: Dr. Massimo Dolciotti - Ancona

Elaborazione digitale: Andrea Dini - Ancona

VISUALIZZA IL VIDEO

 

 


 

Data inserimento: 15/12/2017

Ecografia del: 12/12/2017

Strumento: Esaote MyLab 50 Gold

Sonda: Convex Multifrequenza 2,5-6,6 MHz

Età Paziente: F 46 anni

Motivazione dell'esame: da 10 giorni dolore al basso addome.

Commento all'esame: le immagini ed il video documentano formazione anecogena, delle dimensioni di 78 x 72 mm, da ricondurre a cisti liquida dell'ovaio destro. Ovaio sinistro normale. Utero ad ecostruttura disomogenea. Endometrio, in fase secretiva, dello spessore di 14,5 mm.

Conclusioni: cisti liquida dell'ovaio destro (liquid cyst right ovary).

Presentazione: Dr. Massimo Dolciotti - Ancona

Elaborazione digitale: Andrea Dini - Ancona

VISUALIZZA IL VIDEO

 

 


 

Data inserimento: 22/02/2016

Ecografia del: 12/02/2016

Strumento: Esaote MyLab 50 Gold

Sonda: Convex Multifrequenza 2,5-6 MHz  

Età Paziente: F 71 anni

Motivazione dell'esame: follow up di di cisti ovarica destra.

Commento all'esame: le immagini ed il video documentano una grossa formazione anecogena, delle dimensioni di 99 x 70 x 74 mm, da ricondurre a cistoadenoma sieroso dell'ovaio destro.

Conclusioni: cistoadenoma sieroso dell'ovaio destro (right ovarian serous cystadenoma).

In collaborazione: Dr. Francesco Monaco e Dr. Maurizio Monaco - Ancona

Presentazione: Dr. Massimo Dolciotti - Ancona

Elaborazione digitale: Andrea Dini - Ancona

 

VISUALIZZA IL VIDEO

 

 

 


Data inserimento: 07/10/2015

Ecografia del: 07/10/2015

Strumento: Esaote MyLab 50 Gold

Sonda: Convex Multifrequenza 2,5-6,6 MHz

Età Paziente: F 48 anni

Motivazione dell'esame: da tre mesi dolori al basso addome ed al rachide lombare. Ritardo mestruale.

Commento all'esame: le immagini ed il video documentano formazione anecogena, a margini regolari, delle dimensioni massime documentate di 110 x 97 x 71 mm, senza evidenti segni di vascolarizzazione, da ricondurre come prima ipotesi a cisti luteinica dell'ovaio destro.

Conclusioni: cisti luteinica dell'ovaio destro (luteal cysts right ovary).

Potete esprimere le vostre osservazioni e commenti sul BLOG.

In collaborazione: Dr. Quintilio Tomassetti - Ancona

Presentazione: Dr. Massimo Dolciotti - Ancona

Elaborazione digitale: Andrea Dini - Ancona

 

VISUALIZZA IL VIDEO

 

 


 

Data inserimento: 29/07/2015

Ecografia del: 14/01/2015

Strumento: Esaote MyLab 50 Gold

Sonda: Endocavitaria 6,6 MHz  

Età Paziente: F 51 anni

Motivazione dell'esame: dolori persistenti in sede pelvica sinistra. Follow up di neoplasia ovarica.

Commento all'esame: le immagini ed il video documentano l'ovaio sinistro aumentato di volume rispetto al controllo precedente, ad ecostruttura disomogenea, a componente solida e liquida, a margini regolari, senza evidenti segni di vascolarizzazione nei gettoni solidi dell'ovaio. Ovaio destro di ecostruttura e morfovolumetria regolare.

Conclusioni: follow up di cistoadenoma mucinoso dell'ovaio sinistro asportato il 15 maggio 2015 (follow-up of left ovarian mucinous cystadenoma removed May 15, 2015).

Potete esprimere le vostre osservazioni e commenti sul BLOG.

Presentazione: Dr. Massimo Dolciotti - Ancona

Elaborazione digitale: Andrea Dini - Ancona

 

VISUALIZZA IL VIDEO

 

 


 

Data inserimento: 29/07/2015

Ecografia del: 16/09/2014

Strumento: Esaote MyLab 50 Gold

Sonda: Endocavitaria 6,6 MHz  

Età Paziente: F 51 anni

Motivazione dell'esame: dolori in sede pelvica sinistra recidivanti.

Commento all'esame: le immagini ed il video documentano l'ovaio sinistro aumentato di volume, ad ecostruttura disomogenea, a componente solida e liquida, a margini regolari, senza evidenti segni di vascolarizzazione nei gettoni solidi dell'ovaio. Ovaio destro di ecostruttura e morfovolumetria regolare.

Conclusioni: cistoadenoma mucinoso dell'ovaio sinistro (mucinous cystadenoma left ovary).

Potete esprimere le vostre osservazioni e commenti sul BLOG.

Presentazione: Dr. Massimo Dolciotti - Ancona

Elaborazione digitale: Andrea Dini - Ancona

 

VISUALIZZA IL VIDEO

 

 

 


 

Data inserimento: 16/06/2014

Ecografia del: 15/06/2014

Strumento: Esaote MyLab Class C

Sonda: Lineare Multifrequenza 4-13 MHz

Età Paziente:  F

Commento all'esame: complex mass ovarica, in giovane, con alcune linfoadenopatie limitrofe.

Conclusioni: complex mass ovarica (complex ovarian mass).

Potete esprimere le vostre osservazioni e commenti sul BLOG.

Realizzazione: Dr. F. Pietro Tarini - Gubbio

Presentazione: Dr. Massimo Dolciotti - Ancona

Elaborazione digitale: Andrea Dini - Ancona

 

VISUALIZZA IL VIDEO  

 


 

Data inserimento: 27/05/2014

Ecografia del: 24/05/2014

Strumento: Esaote MyLab Class C

Sonda: Convex Multifrequenza 1-8 MHz

Età Paziente: F 81 anni 

Commento all'esame: anziana con etp ovarico sn.

Conclusioni: neoplasia ovarica (ovarian cancer).

Potete esprimere le vostre osservazioni e commenti sul BLOG.

Realizzazione: Dr. F. Pietro Tarini - Gubbio

Presentazione: Dr. Massimo Dolciotti - Ancona

Elaborazione digitale: Andrea Dini - Ancona

VISUALIZZA IL VIDEO  

 

 


 

Data inserimento: 26/02/2014

Ecografia del: 14/02/2014 

Strumento: Esaote MyLab 50 Gold - Responsabile Linea Cardio Esaote Regione Marche Dr. Franco Fabi

Sonda: Convex Multifrequenza 2,5-5 Mhz ed Endocavitaria Multifrequenza 4-8 Mhz 

Età Paziente: F 69 anni

Motivazione dell'esame: dolori in fossa iliaca sinistra.

Commento all'esame: le immagini ed il video documentano una cisti complessa all'ovaio sinistro, a prevalenza liquida, ma con gettoni solidi, delle dimensioni di 62x61 mm, da ricondurre, come prima ipotesi, a carcinoma sieroso dell'ovaio sinistro.

Conclusioni: carcinoma sieroso dell'ovaio sinistro (serous carcinoma of the left ovary).

Potete esprimere le vostre osservazioni, commenti ed ipotesi diagnostiche sul BLOG.

In collaborazione: Dr. Quintilio Tomassetti - Ancona

Presentazione: Dr. Massimo Dolciotti - Ancona

Elaborazione digitale: Andrea Dini - Ancona

 

VISUALIZZA IL VIDEO 

 

 


 

Data inserimento: 18/02/2013

Ecografia del: 21/01/2013 

Strumento: Esaote MyLab 50 Gold - Responsabile Linea Cardio Esaote Regione Marche Dr. Franco Fabi

Sonda: Endocavitaria 6,6 Mhz e Convex Multifrequenza 2,5-5 Mhz

Età Paziente: F 32 anni

Motivazione dell'esame: dolori al basso addome e perdite vaginali rosate.

Commento all'esame: le immagini ed il video documentano l'utero di ecostruttura disomogenea, con diametro longitudinale di 82 mm, anteroposteriore di 41 mm, endometrio in fase secretiva dello spessore di 10,7 mm. Ovaio sinistro di regolare ecostruttura e morfovolumetria, delle dimensioni di 39,5 x 16,8 mm. Ovaio destro di regolare ecostruttura e morfovolumetria, delle dimensioni di 35 x 22 mm. Tra l'ovaio destro e l'utero si documenta formazione anecogena delle dimensioni di 57 x 26 mm, da ricondurre ad idrosalpinge destra.

Conclusioni: idrosalpinge destra (hydrosalpinx right).

Potete esprimere le vostre osservazioni e commenti sul BLOG.

Presentazione: Dr. Massimo Dolciotti - Ancona

Elaborazione digitale: Andrea Dini - Ancona

 

VISUALIZZA IL VIDEO 

 

 


 

 

Data inserimento: 17/12/2012

Ecografia del: 14/12/2012

Strumento: Esaote MyLab 50 Gold

Sonda: Convex Multifrequenza 2,5-5 MHz

Età Paziente: F

Commento all'esame: giovane donna con algie pelviche post-intervento per ascesso tubo-ovarico: dopo 6 mesi reperto di cisti complessa, posteriormente al retto, verosimile sequela della pregressa pelvi-peritonite.

Conclusioni: cisti post-ascessuale.

Potete esprimere le vostre osservazioni e commenti sul BLOG.

Realizzazione: Dr. F. Pietro Tarini - Gubbio

Presentazione: Dr. Massimo Dolciotti - Ancona

Elaborazione digitale: Andrea Dini - Ancona

 

VISUALIZZA IL VIDEO  

 


 

 

Data inserimento: 27/08/2012

Ecografia del: 26/08/2012

Strumento: Esaote MyLab 50 Gold

Sonda: Convex Multifrequenza 2,5-5 MHz

Età Paziente: F 80 anni 

Commento all'esame: donna ultra-ottantenne, obesa, dispnoica con recente colica epatica ed anomali markers tumorali (CEA, Ca 125, Ca 19-9): complex-mass in sede ovarica sn con segno di Troisier (linfoadenomegalie in sede sovraclaveare sn) da verosimile interessamento del dotto linfatico; coesistono calcoli biliari.

Conclusioni: k ovarico.

Potete esprimere le vostre osservazioni e commenti sul BLOG.

Realizzazione: Dr. F. Pietro Tarini - Gubbio

Presentazione: Dr. Massimo Dolciotti - Ancona

Elaborazione digitale: Andrea Dini - Ancona

 

VISUALIZZA IL VIDEO  

 


 

Data inserimento: 16/12/2011

Ecografia del: 06/12/2011

Strumento: Esaote MyLab 50 Gold - Responsabile Linea Cardio Esaote Regione Marche Dr. Franco Fabi

Sonda: Convex 3,5 MHz ed Endocavitaria 6,6 MHz

Età Paziente: F 21 anni

Motivazione dell'esame: da una settimana dolore al basso addome in fossa iliaca sinistra, irradiato posteriormente.

Commento all'esame: le immagini ed il video documentano formazione anecogena, ben delimitata, a margini netti, avascolare, delle dimensioni di 50 x 38 x47 mm, da ricondurre a cisti liquida dell'ovaio sinistro. 

Conclusioni: cisti liquida dell'ovaio sinistro.

Potete esprimere le vostre osservazioni e commenti sul BLOG.

Presentazione: Dr. Massimo Dolciotti - Ancona

Elaborazione digitale: Andrea Dini - Ancona

 

VISUALIZZA IL VIDEO

 

 


 

Data inserimento: 05/12/2011

Ecografia del: 14/09/2011

Strumento: Esaote MyLab 50 Gold

Sonda: Convex 3,5 Mhz 

Età Paziente: F 53 anni  

Commento all'esame: 53enne con cisti dermoide ovarica.

Conclusioni: dermoide ovarico.

Potete esprimere le vostre osservazioni e commenti sul BLOG.

Realizzazione: Dr. F. Pietro Tarini - Gubbio

Presentazione: Dr. Massimo Dolciotti - Ancona

Elaborazione digitale: Andrea Dini - Ancona

 


 

Data inserimento: 03/10/2011

Ecografia del: 27/05/2011

Strumento: Esaote MyLab 50 Gold

Sonda: Convex 3,5 Mhz 

Età Paziente: F 62 anni

Commento all'esame: 62enne con vaghe algie pelviche (perduranti da alcuni mesi e delle quali non aveva mai sofferto!) e tranquillizzata con diagnosi di “intestino irritabile” dal proprio medico (il marito, recentemente deceduto per K pancreatico, aveva ricevuto analoga diagnosi!); la pt “irritata” (ma non dall’intestino!) per la reticenza del proprio medico ad approfondire il sintoma ha cercato conforto nell’ecografia: masse ovariche bilaterali sospette poi risultate (dopo l’ablazione nel successivo mese di Agosto) di natura carcinomatosa.La pt attualmente, sempre più “irritata”, lamenta l’alopecia per la CHT ma non ha saputo indicarmi l’istotipo della neoplasia.

Conclusioni: k ovarico bilaterale.

Potete esprimere le vostre osservazioni e commenti sul BLOG.

Realizzazione: Dr. F. Pietro Tarini - Gubbio

Presentazione: Dr. Massimo Dolciotti - Ancona

Elaborazione digitale: Andrea Dini - Ancona

 


 

Data inserimento: 12/09/2011

Ecografia del: 06/09/2011

Strumento: Esaote MyLab 50 Gold

Sonda: Convex 3,5 Mhz 

Età Paziente: F 22 anni

Commento all'esame: 23enne con amenorrea secondaria, tensione addominale, nausea e reperto ecografico di cisti luteinica con endometrio progestativo: sindrome di Halban, presumibilmente, da FANS (pt emicranica).

Conclusioni: sindrome di Halban.

Potete esprimere le vostre osservazioni e commenti sul BLOG.

Realizzazione: Dr. F. Pietro Tarini - Gubbio

Presentazione: Dr. Massimo Dolciotti - Ancona

Elaborazione digitale: Andrea Dini - Ancona

 


 

Data inserimento: 31/08/2011

Ecografia del: 29/08/2011

Strumento: Esaote MyLab 50 Gold

Sonda: Convex 3,5 Mhz 

Età Paziente: F 60 anni

Commento all'esame: 60enne con recidiva, alla cupola vaginale, di k ovarico trattato chirurgicamente e con cicli di taxolo e carboplatino nel 2009.

Conclusioni: recidiva di etp ovarica.

Potete esprimere le vostre osservazioni e commenti sul BLOG.

Realizzazione: Dr. F. Pietro Tarini - Gubbio

Presentazione: Dr. Massimo Dolciotti - Ancona

Elaborazione digitale: Andrea Dini - Ancona

 


 

Data inserimento: 24/08/2011

Ecografia del: 21/08/2011

Strumento: Esaote MyLab 50 Gold

Sonda: Convex 3,5 Mhz 

Età Paziente: F 47 anni

Commento all'esame: teratoma ovarico in 47enne.

Conclusioni: teratoma ovarico.

Potete esprimere le vostre osservazioni e commenti sul BLOG.

Realizzazione: Dr. F. Pietro Tarini - Gubbio

Presentazione: Dr. Massimo Dolciotti - Ancona

Elaborazione digitale: Andrea Dini - Ancona

 


 

Data inserimento: 08/06/2011

Ecografia del: 01/06/2011

Strumento: Esaote MyLab 50 Gold - Responsabile Linea Cardio Esaote Regione Marche Dr. Franco Fabi

Sonda: Convex 3,5 MHz

Età Paziente:  F 14 anni

Motivazione dell'esame: dolori al fianco sinistro insorti il giorno precedente e durati 2-3 ore.

Commento all'esame: le immagini ed il video documentano il rene destro è in sede e presenta diametro bipolare di 115 mm. Non dilatazione della via escretrice destra. Il rene sinistro è in sede e presenta diametro bipolare di 127 mm. Idronefrosi di lieve entità (primo grado) a sinistra. Non evidenziati calcoli al rene, né all'uretere sinistro, ma non si può escludere la microlitiasi. La vescica presenta discreto riempimento con volume urinario calcolato di 278 cc. Assente il residuo postminzionale. Non si documentano immagini endoluminali in vescica. Utero antiversoflesso ad ecostruttura regolare con diametro longitudinale di 64 mm ed anteroposteriore di 39 mm. Endometrio in fase secretiva e dello spessore di 11 mm. Ovaio sinistro delle dimensioni di 41 x 20 mm. Ovaio destro delle dimensioni di 43 x 53 mm, con evidenza di corpo luteo.

Conclusioni: Idronefrosi di lieve entità (primo grado) al rene sinistro.

Potete esprimere le vostre osservazioni e commenti sul BLOG.

Presentazione: Dr. Massimo Dolciotti - Ancona

Elaborazione digitale: Andrea Dini - Ancona

 

 


 

Data inserimento: 09/02/2011

Ecografia del: 27/05/2008 - 07/02/2011

Strumento: GE Serie P5 - Esaote MyLab 50 Gold

Sonda: Convex 3,5 Mhz 

Età Paziente:  F 38 anni

Commento all'esame: Pt 38enne in terapia con 1.5 mg/settimana di cabergolina per prolattinoma, pregresso dermoide ovarico (riscontro istologico) con polipo endometriale.

Potete esprimere le vostre osservazioni e commenti sul BLOG.

Realizzazione: Dr. F. Pietro Tarini - Gubbio

Presentazione: Dr. Massimo Dolciotti - Ancona

Elaborazione digitale: Andrea Dini - Ancona

 


 

Data inserimento: 06/05/2009

Ecografia del: 22/04/2009

Strumento: Esaote Megas / Sonosite

Sonda: Convex 3,5 Mhz ed Endocavitaria

Età paziente: F 81 anni

Motivazione dell'esame: follow-up per CA del colon.

Commento all'esame: le immagini ed il video documentano in fossa iliaca destra una massa ovarica ad ecostruttura mista, che lo studio con sonda endocavitaria evidenzia di dimensioni di 93x108 mm, con numerosi setti, alcuni dei quali vascolarizzati e documentati al power-doppler. L'aspetto complessivo della massa tipo "favo d'api" è da ricondurre a cisto-adeno-carcinoma mucinoso dell'ovaio destro.

In collaborazione: Dr. Pietro Vitali - Jesi (AN)

Presentazione: Dr. Massimo Dolciotti - Ancona

Elaborazione digitale: Andrea Dini - Ancona

VISUALIZZA IL VIDEO 

 

 


 

Data inserimento: 10/04/2009

Ecografia del: 29/12/2008

Strumento: Esaote MyLab25

Sonda: Endocavitaria

Età paziente: F 29 anni

Le immagini ed il video documentano un raro caso di idrosalpinge bilaterale in donna affetta da infertilità.

Realizzazione: Dr. Filippo Pizzicaroli - Roma

Presentazione: Dr. Massimo Dolciotti - Ancona

Elaborazione digitale: Andrea Dini - Ancona

VISUALIZZA IL VIDEO 

 

 


 

 

Data inserimento: 09/04/2008

Ecografia del: 28/03/2008

Strumento: Toshiba 380A

Età paziente: F 29 anni

Si esegue l'indagine ecografica per dolori al basso addome. Le immagini ed il video documentano l'utero retroverso, di regolare ecostruttura e morfovolumetria e vengono identificate le tube. Endometrio in fase secretiva. 

Presentazione: Dr. Massimo Dolciotti - Ancona

Elaborazione digitale: Andrea Dini - Ancona

VISUALIZZA IL VIDEO  

 

 


 

Data inserimento: 23/01/2008

Ecografia del: 05/10/2007

Strumento: Toshiba 380A

Età paziente: F 40 anni

Si esegue l'indagine ecografica per via endocavitaria transvaginale per dolorabilità in fossa iliaca destra. Le immagini ed il video documentano l'utero di regolare ecostruttura e morfovolumetria, con endometrio di aspetto iperecogeno in fase secretiva, con la presenza di cisti luteinica, caratterizzata da pareti spesse, coaguli e fibrina all'interno della cisti, posizionata in sede centrale dell'ovaio destro.

Presentazione: Dr. Massimo Dolciotti - Ancona

Elaborazione digitale: Andrea Dini - Ancona

VISUALIZZA IL VIDEO

 

 


Data inserimento: 21/01/2008

Ecografia del: 18/01/2008

Strumento: Toshiba 380A

Età paziente: F 30 anni

Le immagini ed i video documentano lo studio della pelvi femminile per via sovrapubica e per via transvaginale per leucorrea. Utero antiversoflesso di regolare morfologia ed ecostruttura. Endometrio in fase proliferativa dello spessore di 12 mm. Ovaio destro delle dimensioni di 34 x 20 mm. Ovaio sinistro delle dimensioni di 26 x 23 mm. Uretra regolare.

Presentazione: Dr. Massimo Dolciotti - Ancona

Elaborazione digitale: Andrea Dini - Ancona

VISUALIZZA IL VIDEO (SOVRAPUBICA)

VISUALIZZA IL VIDEO (TV)

 


 

 

 

Data inserimento: 09/11/2007

Ecografie del: 03/11/2007

Strumento: Toshiba 380A

Età paziente: F 28 anni

Le immagini ed il video documentano l'endometrio iperecogeno in fase secretiva e l'ovaio destro con follicolo maturo. Ovaio sinistro normale. 

Presentazione: Dr. Massimo Dolciotti - Ancona

Elaborazione digitale: Andrea Dini - Ancona

VISUALIZZA IL VIDEO

 

 


 

 

 

Data inserimento: 05/11/2007

Ecografie del: 31/07/2007

Strumento: Toshiba 380A

Età paziente: F 42 anni

La paziente esegue l'ecografia TV per tumefazione e dolore in regione vulvovaginale, con interessamento prevalente delle grandi labbra di destra. Le immagini ed il video documentano la cisti ascessualizzata della ghiandola del Bartolino di destra.

Presentazione: Dr. Massimo Dolciotti - Ancona

Elaborazione digitale: Andrea Dini - Ancona

VISUALIZZA IL VIDEO 

 


 

 

Data inserimento: 27/06/2007

Ecografia del: 01/05/2007

Strumento: Esaote Megas

Età paziente: F 30 anni

La paziente richiede l'indagine per dolori al basso addome. L'ecografia pelvica sovrapubica con sonda da 3,5 MHz documenta all'ovaio sinistro la presenza di formazione anecogena, delle dimensioni di 4 cm x 3 cm, delimitata da una parete spessa e riconducibile a cisti luteinica.

Presentazione: Dr. Massimo Dolciotti - Ancona

In collaborazione: Dr. Pietro Vitali

Elaborazione digitale: Andrea Dini - Ancona

VISUALIZZA IL VIDEO 

 

 


 

 

Data inserimento: 14/05/2007

Data esame: 09/02/2007

Strumento: Toshiba 380A

Età paziente: F 26 anni

La paziente richiede l'ecografia del basso addome per dolori in fossa iliaca destra. L'indagine con sonda convex 3,5 Mhz evidenzia all'ovaio destro immagine ipo-anecogena, a contenuto prevalentemente fluido, da ricondurre a corpo luteo emorragico. 

Presentazione: Dr. Massimo Dolciotti - Ancona

Elaborazione digitale: Andrea Dini - Ancona

VISUALIZZA IL VIDEO

 


 

 

Data inserimento: 23/02/2007

Data esame: 20/02/2007

Strumento: Sonosite

Età paziente: F 51 anni

Indagine ecografica per via transvaginale che evidenzia l'ovaio sinistro con corpo luteo emorragico. Paziente asintomatica esegue l'indagine per sospetto polipo endometriale, che risulta negativo.

In collaborazione: Dr. Pietro Vitali

Elaborazione digitale: Andrea Dini

 


Data inserimento: 02/09/2006

Data esame: 18/03/2006

Strumento: Toshiba 380A

Età paziente: F 60 anni

Evidenza ecografica di neoformazione pelvica di pertinenza dell'ovaio destro, istologicamente diagnosticata come fibroma ovarico. Tuba indenne. Utero delle dimensioni di 6x3,5 cm, L'ovaio destro è occupato da una massa biancastra delle dimensioni di 4,5x3,5 cm.

Elaborazione digitale: Andrea Dini

VISUALIZZA IL VIDEO


Data inserimento: 29/07/2006

Data esame: 24/07/2006

Strumento: Esaote Megas

Età paziente: F 45 anni

All'ovaio sinistro si evidenzia la formazione anecogena centrovarica, a pareti spesse, con echi interni, da ricondurre a corpo luteo emorragico.

Elaborazione digitale: Andrea Dini

 


 

 

Data inserimento: 29/04/2006

Data esame: 08/03/2005

Strumento: Toshiba 380A

Età paziente: F 29 anni

Utero retroverso in trattamento con estroprogestinici mensili. Si documentano le ovaie con follicoli piccoli bilateralmente ed endometrio di spessore ridotto.

Elaborazione digitale: Andrea Dini

 


 

 

 

 

Data inserimento: 08/11/2005

Data esame: 25/10/2005

Strumento: Esaote Megas

Età paziente: F 45 anni

Donna con dolori al basso addome, si evidenzia in fossa iliaca destra una tumefazione dolente, che all'indagine ecografica mostra una cisti ovarica a contorni ben definiti ed aspetto anecogeno, verosimilmente liquida, che al tavolo operatorio mostra l'aspetto qui di fianco documentato.

U.O. di Chirurgia Generale Casa di Cura Villa Serena - Jesi

Elaborazione digitale: Andrea Dini

 


 

 

 

Data inserimento: 21/06/2005

Data esame: 19/06/2005

Strumento: Sonosite

Età paziente: F 26 anni

Immagini di utero ed ovaie normali documentate per via sovrapubica.

Elaborazione digitale: Andrea Dini

 


 

Data inserimento: 31/05/2005

Data esame: 30/05/2005

Strumento: Toshiba 380A

Età paziente: F 36 anni

Si documenta, con sonda transvaginale, la normale ecostruttura delle ovaie con follicolo maturo e verosimilmente subito dopo l'ovulazione, con piccolo versamento sierematico nel Douglas, che eccezionalmente evidenzia l'ovaio destro con la tuba. Utero ad ecostruttura disomogenea con numerosi fibromi. Rima endometriale regolare.

Elaborazione digitale: Andrea Dini

 

 

 


 

 

Data inserimento: 17/05/2005

Data esame: 12/05/2005

Strumento: Sonosite

Età paziente: F 33 anni

Cisti liquida dell'ovaio destro.

Elaborazione digitale: Andrea Dini

 

 


Data inserimento: 01/03/2005

Data esame: 11/02/2005

Strumento: Toshiba 380A

Età paziente: F 72 anni

Massa addominale liquida di grosse dimensioni tipizzata come cistoadenoma sieroso.

Presentazione: Dr. Massimo Dolciotti - Ancona

Elaborazione digitale: Andrea Dini - Ancona

VISUALIZZA IL VIDEO 

 

 


 

 

 

 

Data inserimento: 01/03/2005

Data esame: 23/02/2005

Strumento: Sonosite

Età paziente: F 27 anni

Ecografia sovrapubica pelvica e transvaginale con utero ed ovaia regolari. Si vuol documentare la differenza dei due esami ecografici.

Elaborazione digitale: Andrea Dini

 


 

 

 

 

 

Data inserimento: 16/11/2004

Data esame: 01/07/2003

Strumento: Sonosite

Età paziente: F 38 anni

Sactosalpinge: infezione della tuba ovarica a contenuto di pus e sangue all'interno.

In collaborazione: Prof. Giuseppe Grechi

Elaborazione digitale: Andrea Dini


 

 

 

 

 

 

 

Data inserimento: 19/10/2004

Data esame: 03/10/2003

Strumento: Sonosite

Età paziente: F 24

Ovaie con microcisti in donna con amenorrea ed irsutismo.

Elaborazione digitale: Andrea Dini


 

 

 

 

 

Data inserimento: 19/10/2004

Data esame: 29/08/2003

Strumento: Sonosite

Età paziente: F 44

Cisti ovarica sinistra.

Elaborazione digitale: Andrea Dini


 

 

Data inserimento: 28/09/2004

Data esame: 24/09/2004

Strumento: Toshiba 380A

Età paziente: F 25

Follicolo maturo dell'ovaio destro.

Elaborazione digitale: Andrea Dini


Data inserimento: 14/09/2004

Data esame: 03/09/2004

Strumento: Toshiba 380A

Età paziente: F 15

Ovaio sinistro con microfollicoli.

Elaborazione digitale: Andrea Dini


 

 

 

Data inserimento: 11/05/2004

Data esame: 21/04/2004

Strumento: SonoSite

Età paziente: F 26

Ecografia transvaginale, normalità di utero ed ovaie

In collaborazione: Dr.ssa Giuliana Santoni

Elaborazione digitale: Andrea Dini

 


 

 
HOME PAGE